UniCa UniCa News Notizie Radiazioni, rischi ancora poco conosciuti

Radiazioni, rischi ancora poco conosciuti

Uno studio multicentrico nazionale sulle radiazioni ionizzanti e tecniche di imaging usate in medicina realizzato con la partecipazione degli studenti del terzo anno di Tecniche di Radiologia Medica per Immagini e Radioterapia, guidati da Matteo Ceccarelli e Luca Saba, mostra che anche in Sardegna tantissimi intervistati non hanno conoscenze sufficienti: servono adeguate campagne di informazione. RASSEGNA STAMPA con il servizio del TG della RAI
29 marzo 2021
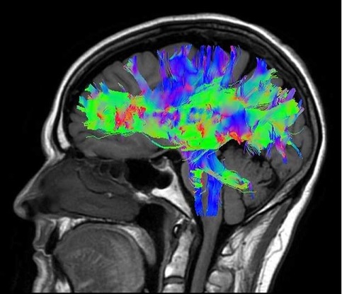
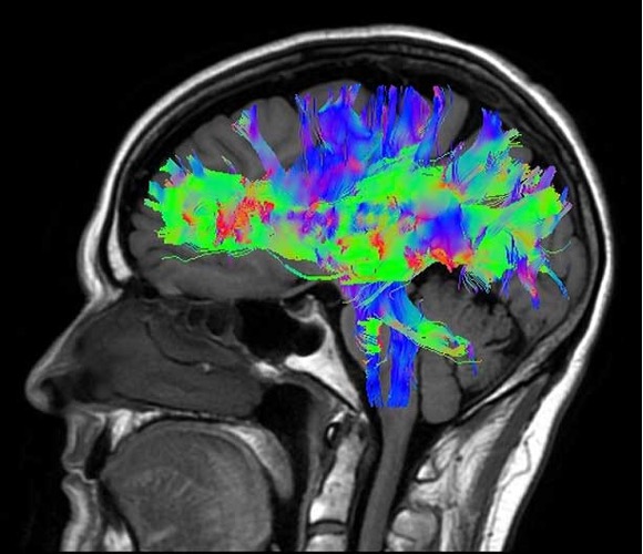
Immagine tridimensionale del cranio con taglio saggitale dell’encefalo ottenuta con tecniche complementari, combinando radiazioni ionizzanti e campi magnetici, solo le prime presentano un rischio per il paziente

Coadiuvati dai docenti Matteo Ceccarelli e Luca Saba, gli studenti hanno intervistato quasi 400 pazienti del reparto di Radiologia dell’Azienda Ospedaliero-Universitaria di Cagliari

Sergio Nuvoli

Cagliari, 29 marzo 2021 - Gli studenti del terzo anno di Tecniche di Radiologia Medica per Immagini e Radioterapia hanno partecipato a uno studio multicentrico condotto su scala nazionale sulle radiazioni ionizzanti e tecniche di imaging usate in medicina.

 Coadiuvati dai docenti Matteo Ceccarelli e Luca Saba, hanno intervistato quasi 400 pazienti del reparto di Radiologia dell’Azienda Ospedaliero-Universitaria di Cagliari con lo scopo di sondare le conoscenze della popolazione su questo importante argomento.

Matteo Ceccarelli
Matteo Ceccarelli
Servizio di Graziano Pintus andato in onda nell'edizione del TGR RAI Sardegna delle 19.35 del 29 marzo 2021 introdotto da Elisabetta Atzeni

Questi gli studenti coinvolti nello studio: Elisa Muntoni, Daniele Caoci, Carla Busonera, Alessia Spano, Andrea Tronci, Matteo Mura, Davide Giannoni

Anche in Sardegna i risultati mostrano che poco meno della metà degli intervistati non ha conoscenze sufficienti in merito ai rischi delle radiazioni. I dati raccolti dovranno portare all’elaborazione di adeguate campagne di informazione mirate, visto anche il recepimento della direttiva EURATOM 2013/59 in materia di esposizione alle radiazioni ionizzanti in ambito medico (DL n. 101 del 31 luglio 2020). 

Questi gli studenti coinvolti nello studio: Elisa Muntoni, Daniele Caoci, Carla Busonera, Alessia Spano, Andrea Tronci, Matteo Mura, Davide Giannoni.

Luca Saba
Luca Saba

Link

Ultime notizie

Questionario e social

Condividi su:
Impostazioni cookie