UniCa UniCa News Notizie Malattie genetiche, l'Università di Cagliari nel nuovo Centro nazionale di ricerca

Malattie genetiche, l'Università di Cagliari nel nuovo Centro nazionale di ricerca

L'ateneo è tra i fondatori della struttura sorta per lo “Sviluppo di terapia genica e farmaci con tecnologia a Rna” finanziata dal Pnrr con 320 milioni di euro. Le specialiste Raffaella Origa, referente scientifica, e Patrizia Zavattari, sono le coordinatrici del progetto. Il rettore Francesco Mola: "Abbiamo conferma delle valide e riconosciute competenze del settore acquisite negli anni"  
30 giugno 2022
Il lavoro certosino dei ricercatori dietro i passi avanti della genetica

Valorizzazione della ricerca e promozione di attività imprenditoriali ad alto contenuto tecnologico

Mario Frongia

L’8 giugno scorso si è costituito il Centro nazionale per lo “Sviluppo di terapia genica e farmaci con tecnologia a Rna”. Tra i soci fondatori c'è anche l’Università di Cagliari. Il Centro (cui partecipano venti atenei, alcune Fondazioni e vari soggetti privati) ha per obiettivo la realizzazione di progetti di ricerca e la promozione di attività imprenditoriali ad alto contenuto tecnologico, unendo in uno spirito collaborativo, e senza scopo di lucro, Università, enti di ricerca e imprese. Nell’ambito del Centro nazionale, organizzato in una struttura “hub&spoke” con capofila l’Università di Padova, l'ateneo del capoluogo sardo è parte integrante delle iniziative orientate allo studio delle malattie genetiche. I ricercatori dell’Università di Cagliari si propongono per lo studio e la realizzazione di terapie innovative basate su Rna in patologie genetiche con accumulo di ferro. "Particolarmente esposti a questo tipo di patologie, sono i pazienti trasfusione-dipendenti, che possono presentare un accumulo di ferro secondario alle trasfusioni con possibile sviluppo di complicanze endocrine, cardiache ed epatiche e una ridotta sopravvivenza" spiega la referente scientifica dello spoke di Cagliari per il Centro, Raffaella Origa, dipartimento Scienze mediche. "Alla categoria dei microRna (miRna), che è rappresentata da piccole molecole di Rna - aggiunge Patrizia Zavattari, co-coordinatrice del progetto e responsabile del Laboratorio di Biologia molecolare, genomica ed epigenomica-dipatimento Scienze biomediche  - appartengono sia molecole fisiologiche nel nostro corpo, sia altre di significato patologico, alcune delle quali risultano associate all’accumulo marziale e alla tossicità d’organo. Queste ultime possono essere senza dubbio considerate ottimi candidati a divenire target di potenziali farmaci capaci di controllare l’accumulo di ferro". All'interno del nuovo Centro nazionale di ricerca, è questa la sfida ambiziosa dall’obiettivo potenzialmente raggiungibile che si pongono i ricercatori di UniCa.

Rna, riferimento degli studiosi negli scenari in continua evoluzione delle patologie genetiche
Rna, riferimento degli studiosi negli scenari in continua evoluzione delle patologie genetiche

Competenze, impegno e know how qualificato dai ricercatori cagliaritani

“L’Università di Cagliari tra i soci promotori del Centro nazionale per lo sviluppo di terapie geniche e farmaci basati su tecnologia a Rna, conferma le valide e riconosciute competenze acquisite negli anni dal nostro ateneo in una tematica di così grande rilievo biologico-sanitario. Oltre alla forte motivazione - rimarca il rettore, Francesco Mola - verso un ulteriore miglioramento, nello spirito di mettere al servizio degli altri il proprio know how. L’impegno dei nostri ricercatori anche in queste discipline, si è da sempre profuso sia a livello europeo, nazionale e regionale, in un’isola che necessita di grandi competenze in tema di malattie genetiche. Il nostro ateneo conduce da tempo un'intensa e produttiva attività di ricerca, fondamentale e applicata, sulle malattie genetiche, sulla veicolazione del farmaco e sull’allestimento di sistemi multi-sensore, oggetto di studio dei ricercatori afferenti ai settori scientifici disciplinari che saranno protagonisti di questa nuova affascinante sfida”

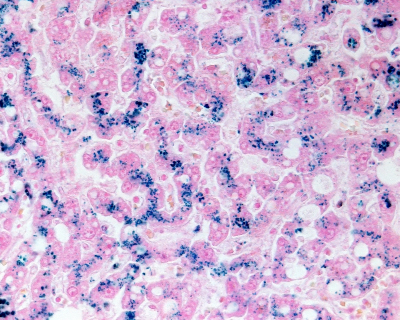
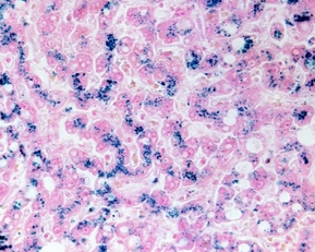
Un vetrino inerente malattie con accumulo di ferro
Un vetrino inerente malattie con accumulo di ferro

Una torta da trecentoventi milioni di euro di investimenti nell'ambito del Pnrr

La realizzazione del Centro nazionale rientra fra gli investimenti che il ministero dell’Università e della ricerca (Mur) ha messo in atto con il Piano nazionale di ripresa e resilienza (Pnrr). Per la messa in opera di questo Centro nazionale sono stati stanziati 320 milioni di euro, per i primi tre anni di attività. La Fondazione, costituita per gestire e monitorare le attività del Centro, rappresenta un perfetto connubio fra università, enti pubblici e aziende private leader nel settore, che potranno concorrere a bandi competitivi per progetti internazionali, europei, nazionali e regionali, con forti ricadute di immagine e profitto per la Fondazione stessa e i singoli membri costituenti.

Notizia in aggiornamento

Farmaci e terapie innovative per le patologie genetiche, terreno fecondo per l'Università di Cagliari
Farmaci e terapie innovative per le patologie genetiche, terreno fecondo per l'Università di Cagliari

Ultime notizie

Questionario e social

Condividi su:
Impostazioni cookie