Biomedicina


Da mesi gli studiosi stanno esaminando Covid-19. Scienziati e ricercatori dei cinque continenti sono all’opera per trovare terapie e vaccini per il coronavirus che sta contagiando il pianeta.

Anche i ricercatori dell'Università di Cagliari - con la dicitura "RICERCA BY UniCa" quando le segnalazioni dei docenti convergono con lo studio presentato e realizzato dagli stessi in ateneo . sono impegnati in una sfida epocale per l'umanità. Un percorso che si snoda tra sperimentazioni, metodiche, ricerche su scala internazionale con una puntuale e verificata divulgazione della conoscenza scientifica.

 

In tutto il mondo avanzano le ricerche sul Covid-19

Stefano Angioni e Maurizio Nicola D’Alterio

Covid-19 e gravidanza

30 marzo 2020 - L’epidemia di Covid-19 è in rapido aumento per quanto riguarda numero di casi, decessi e paesi coinvolti. In questa pandemia globale il ginecologo è chiamato a gestire l’emergenza nelle donne gravide. Le manifestazioni nelle donne gravide sono le stesse della popolazione generale e includono febbre, tosse, mialgia, mal di testa e diarrea. Immagini radiologiche anormali, associate a linfopenia, leucopenia e trombocitopenia si riscontrano nei casi più gravi che necessitano di supporto respiratorio. I principi di gestione del Covid-19 in gravidanza includono l'isolamento precoce, stretto controllo delle infezioni tramite antibioticoterapia, ossigenoterapia, evitare il sovraccarico di liquidi, monitoraggio fetale attraverso gli ultrasuoni e la cardiotocografia, eventuale ventilazione meccanica. In base alle condizioni della gravida, bisogna valutare il timing del parto. Per quanto concerne il feto, non ci sono ancora dati sufficienti che provino una trasmissione verticale in utero. Tuttavia si sono osservati casi di aborti spontanei, Mef (morte endouterina fetale), parti pretermine nelle epoche gestazionali più precoci. La maggior parte dei bambini nati da donne positive erano tuttavia negativi. Nonostante ciò un bambino nato da madre positiva Sars-CoV-2 deve essere sempre considerato potenzialmente infetto e posto in isolamento, allontanandolo temporaneamente dalla madre. Non è noto se il Sars-CoV-2 possa essere trasmesso attraverso il latte materno. In letteratura è descritto un singolo caso in cui si è riportata la presenza del virus nel latte materno. Fino a quando non saranno disponibili dati aggiuntivi, l’allattamento deve essere incoraggiato ma quello diretto è possibile solo dopo che la donna non è più considerata potenzialmente infettante.

Link agli articoli:

Covid-19: isolamento precoce e stretto controllo delle infenzioni per le donne gravide contagiate
Covid-19: isolamento precoce e stretto controllo delle infenzioni per le donne gravide contagiate

La laparoscopia ai tempi del Covid-19

16 maggio 2020 - La chirurgia mini-invasiva e la laparoscopia in particolare, rappresentano l'approccio convenzionale alla maggior parte della chirurgia addominale e pelvica. Attualmente la sindrome respiratoria acuta da Coronavirus-2 (Sars-Cov-2) sta modificando l'attività della nostra sala operatoria. Sono state espresse preoccupazioni sul fatto che la chirurgia mini-invasiva potrebbe essere una procedura che comporta il rischio di diffusione del virus in sala operatoria. Il problema maggior della contaminazione delle sale operatorie sarebbe particolarmente correlato all'evacuazione del pneumoperitoneo durante la chirurgia laparoscopica. Alcuni casi in letteratura riportano il possibile rischio per il team chirurgico di inalazione di virus durante gli interventi laparoscopici. I virus dell'epatite B e del papillomavirus umano sono stati rilevati nel fumo chirurgico, sebbene non esistano dati certi sulla contaminazione del personale di sala. Anche se non è ancora noto se il Sars-Cov-2 possa condividere le proprietà di altri virus che sono stati trovati nella Co2 durante gli interventi laparoscopici, molte società scientifiche hanno pubblicato le loro raccomandazioni sulla laparoscopia durante questa pandemia. La situazione ideale sarebbe quella di sottoporre a screening tutti i pazienti prima dell'intervento chirurgico. Se ciò non fosse possibile, è necessario utilizzare i dispostivi di protezione individuale e seguire tutte le strategie per ridurre la diffusione dell'aerosol in sala operatoria. E’ raccomandabile utilizzare un sistema a circuito chiuso per mantenere il pneumoperitoneo e per facilitare l'evacuazione e la filtrazione dei fumi chirurgici. Un altro possibile suggerimento è di utilizzare pressioni molto basse di Co2. Questo risultato può anche essere ottenuto utilizzando un blocco neuromuscolare profondo anestesiologico per ottimizzare lo spazio chirurgico. Queste strategie aumenterebbero i costi degli interventi ma potrebbero migliorarne la sicurezza per pazienti ed operatori sanitari.

Link

https://rdcu.be/b4cs1

 

La pandemia e le modifiche in sala operatoria
La pandemia e le modifiche in sala operatoria

Luigi Atzori

Sars-Cov-19 e test diagnostici

1 aprile 2020 - Con il crescere della pandemia di Covid-19 aumenta la necessità di avere nuovi e diversi test diagnostici, soprattutto perché il virus può essere trasmesso da asintomatici. Nel richiedere un test diagnostico dovrebbe essere chiaro qual è l’obiettivo: diagnosi (di primo livello o conferma), monitoraggio della terapia, definizione del numero di soggetti entrati a contatto con il virus e che hanno sviluppato anticorpi (sieroprevalenza), esclusione di contagiosità. Al momento i test molecolari, che identificano il genoma virale, sono i più specifici e sensibili. Oltre ai test molecolari, stanno aumentando test sierologici per la ricerca di anticorpi. Per questi test non c’è ancora risposta certa a: quanto sono specifici? Quando compaiono le Igm e le Igg? Per quanto perdurano? la loro presenza indica protezione o solo avvenuta esposizione? Coesistono con la presenza di una carica virale elevata? Si propongono anche test per la ricerca di componenti virali con saggi sierologi, ma essendo questi test meno sensibili dei test molecolari aumentano il rischio di falsi negativi. È quindi importante che nel decidere quale test usare sia ben chiara la motivazione del perché lo si richiede e la conoscenza di quali sono i limiti del test. Altrimenti si potrebbero creare false aspettative e messaggi non corretti. L’integrazione di test molecolari e sierologici aiuterà a meglio riconoscere la presenza della malattia e la sua diffusione della popolazione.

Link

https://jamanetwork.com/journals/jama/fullarticle/2762997

https://www.thelancet.com/journals/laninf/article/PIIS1473-3099(20)30196-1/fulltext

Test sierologici per la ricerca di anticorpi
Test sierologici per la ricerca di anticorpi

Marianna Boi

Attivazione polmonare della vitamina D3 ed effetto preventivo contro la polmonite interstiziale
 
30 marzo 2020 -
L’attuale infezione data dal Coronavirus è stata messa in relazione anche alla carenza di vitamina D, certo non è così facile da riscontrare una carenza così marcata nei paesi occidentali ma la carenza di vitamina D è maggiormente diffusa nella popolazione anziana. Studi preliminari hanno rilevato che tra i pazienti ricoverati per l’infezione scatenata dal coronavirus c’è un’elevata prevalenza di ipovitaminosi D. Inoltre è nota l'importanza di adeguati livelli plasmatici di Vitamina D nella prevenzione di “numerose patologie croniche.

Di seguito questo lavoro mostra come, sperimentalmente nei topi, e in una linea sperimentale di fibroblasti polmonari, un correto apporto dietetico di vitamina D3 può avere un effetto preventivo contro la polmonite intersiziale. In questo lavoro sono state usate linee cellulari umane di fibroblasti polmonari (Human pulmonary fibroblast cell lines, Hpfc) e un modello murino di fibrosi polmonare indotta da bleomicina per valutare se la vitamina D3 fosse attivata nei polmoni e avesse un effetto preventivo contro la polmonite interstiziale. Nelle cellule Hpfc la vitamina D3 ha soppresso l’espressione indotta dalla bleomicina delle citochine infiammatorie e dei marcatori di fibrosi. Nei topi, i sintomi della fibrosi polmonare indotta dalla bleomicina sono migliorati e l’espressione dei marcatori di fibrosi e degli induttori della fibrosi è stata ridotta da una dieta ricca di vitamina D3. La vitamina D3 viene attivata localmente nei tessuti polmonari, il che suggerisce che un elevato apporto dietetico di vitamina D3 può avere un effetto preventivo contro la polmonite interstiziale.

Link all’articolo:

L'ipovitaminosi è particolarmente diffusa nella popolazione over dei paesi occidentali
L'ipovitaminosi è particolarmente diffusa nella popolazione over dei paesi occidentali

Walter Bonivento

Mvm: un nuovo ventilatore meccanico per l’emergenza Covid-19

6 maggio 2020 - L’articolo descrive un nuovo tipo di ventilatore meccanico che può essere realizzato in tempi rapidissimi e a costi molto contenuti per far fronte alla drammatica scarsità di dispositivi di questo tipo per la terapia intensiva. Il ventilatore Mvm, ottimizzato per l’ossigenazione dei pazienti colpiti da Covid-19, ha appena ricevuto l’approvazione di emergenza presso la Fda (Food and drug administration) Usa e sta affrontando la procedura per la certificazione Ce. Mvm è progettato nella modalità di ventilazione a controllo di pressione per evitare ulteriori danni alveolari ai polmoni dei pazienti già gravemente compromessi dal virus. L’idea di base si rifà al ventilatore di Manley, risalente agli anni ’60, e utilizza solo le linee ad alta pressione di aria e ossigeno presenti in tutti i reparti di terapia intensiva, elettro-valvole, sensori di pressione e flussimetri, il tutto pilotato da un sistema di controllo progettato mediante la piattaforma Arduino. Mvm risulta da un lato estremamente affidabile e potenzialmente non soggetto ai problemi legati all’uso prolungato, fino a un mese a paziente senza interruzione, e dall’altro rende la costruzione un semplice assemblaggio di pezzi, con l’eccezione del circuito di controllo che tuttavia utilizza componenti commerciali.

Link

http://arxiv.org/abs/2003.10405

 

 

Un apparecchio affidabile e adatto agli usi prolungati
Un apparecchio affidabile e adatto agli usi prolungati

Giovanni Caocci e Giorgio La Nasa

Il Ruxolitinib potrebbe essere efficace in pazienti Covid-19 ad alto rischio di sindrome da distress respiratorio acuto (Ards)?

15 maggio 2020 - Un recente articolo in pubblicazione su Annals of Hematology suggerisce che il Ruxolitinib, un farmaco che possiede marcate proprietà antiinfiammatorie, possa essere utilizzato nella terapia della insufficienza respiratoria acuta in corso di infezione da Covid-19. Il farmaco è utilizzato in onco-ematologia nel trattamento di alcune patologie quali la Mielofibrosi idiopatica e, più recentemente, la Linfoistiocitosi emofagocitica. Quest'ultima è una malattia rara, altamente mortale, caratterizzata da una “tempesta infiammatoria” causata dalle interleukine che porta a una grave insufficienza respiratoria, similmente a quanto accade nei pazienti Covid-19, per questo destinati alla terapia intensiva. Gli autori descrivono come il Ruxolitinib, un immunomodulante anti-citochinico, inibitore del gene Jak2 abbia prodotto risultati positivi grazie alle sue proprietà anti-infiammatorie in pazienti con complicanze respiratorie secondarie alla tempesta citochinica, e ne ipotizzano l’utilizzo in un sottogruppo di pazienti con infezione da Covid-19. Alcuni protocolli di studio sono stati successivamente approvati in Italia, e i risultati circa l’efficacia di Ruxolitinib nelle complicanze da Covid-19 dovrebbero arrivare entro alcuni mesi.

Link

https://rdcu.be/b39yZ


 

Un passo avanti dalla ricerca dell'ateneo di Cagliari
Un passo avanti dalla ricerca dell'ateneo di Cagliari

Ezio Carboni

Ivermectina, un nuovo potenziale farmaco per la terapia del Covid-19

9 aprile 2020 - Un interessante studio afferma che l’antiparassitario Ivermectina inibisce la replicazione del virus Sars-Cov-2 (responsabile della pandemia Covid-19) in vitro. I ricercatori hanno dimostrato che in una coltura di cellule, infettate con il Sars-Cov-2, l’ivermectina è in grado di ridurre di oltre il 99 per cento la concentrazione del virus. I ricercatori propongono quindi che in seguito a questo studio preliminare, il farmaco possa essere testato per combattere il Covid-19. L’ivermectina ha già dimostrato di avere proprietà antivirali, nei confronti del virus Hiv-1 (uno dei due tipi di virus che causano l’Aids), della Denv (Dengue), del West Nile virus etc. L’ivermectina è un farmaco antiparassitario approvato per la terapia di malattie sostenute da parassiti (oncocercosi, strongiloidosi, scabbia). Il farmaco causa paralisi muscolare nei parassiti bloccando un canale al cloro presente solo negli invertebrati. In Italia non è venduto in farmacia, fatta eccezione per una specialità dermatologica. L’Aifa starebbe valutando se testare questo farmaco nel Covid-19

Link

https://doi.org/10.1016/j.antiviral.2020.104787

 

Il farmaco causa paralisi muscolare nei parassiti
Il farmaco causa paralisi muscolare nei parassiti

Il pioglitazone potrebbe ridurre il rischio da infezione da Sars-Cov-2 nei pazienti con sindrome metabolica e diabete di tipo 2

29 aprile 2020 - A seguito della pandemia Covid-19 i pazienti con comorbidità quali l’ipertensione o il diabete hanno una maggiore probabilità di andare incontro a complicazioni e di essere sottoposti a terapia intensiva. In particolare dai dati clinici di questi pazienti emerge che molti parametri biochimici, indicativi di uno stato di infiammazione, sono notevolmente elevati (es: proteina C reattiva). Questo lavoro suggerisce che il pioglitazone, un ipoglicemizzante orale, utilizzato nella terapia del diabete di tipo 2 per ridurre l’insulinoresistenza e migliorare lo stato metabolico e infiammatorio, potrebbe avere un’utilità nella terapia dei pazienti Covid con aumentato rischio cardiovascolare. Il pioglitazone infatti, migliorando lo stato metabolico oltre a ridurre i livelli di proteina C reattiva potrebbe migliorare la risposta alle conseguenze da infezione da Sars-Cov-2.

Link

https://authors.elsevier.com/a/1azW115pGc1EuA

Complicanze e comorbidità, il dramma della terapia intensiva
Complicanze e comorbidità, il dramma della terapia intensiva

Mauro Giovanni Carta e Germano Orrù

Le vere sfide dell’epidemia da Covid-19:
la necessità di cure essenziali per tutti


26 marzo 2020 - Negli ultimi decenni la ricerca biomedica è stata caratterizzata dallo sviluppo della cosiddetta "medicina personalizzata". Questa sfida esaltante ha permesso di scoprire cure di efficacia impensabile fino a pochi anni fa, ma ha richiesto un prezzo. Non solo nella maggior parte dei Paesi le cure di eccellenza sono appannaggio solo di chi possiede i mezzi per pagarle, ma anche in nazioni con sistemi sanitari pubblici, nei quali la salute pubblica dovrebbe essere complementare alla medicina individualizzata, è innegabile che la ricerca abbia trascurato negligentemente il tema della protezione sociale.

Tre successive epidemie di coronavirus hanno dimostrato come carenze nel fornire risposte immediate e integrate, scarsa capacità nel gestire le informazioni, incapacità di coordinare le risposte abbiano favorito la progressione di epidemie che avrebbero potuto produrre un impatto minore.

Si è anche evidenziato che non esistono aree privilegiate sulla base del benessere e della ricchezza individuali. Il Covid-19 ha colpito crociere e quartieri borghesi di città europee e cinesi, così come le aree suburbane delle stesse metropoli.

Tutto ciò non vuole negare l'importanza della medicina individualizzata e le grandi innovazioni che questa ha introdotto. Ma dobbiamo imparare la lezione che se non riusciremo a garantire un minimo di assistenza per tutti rischieremo di mettere in pericolo la salute di chiunque, anche degli stessi privilegiati.

Link all’articolo:

L'assistenza sanitaria per tutti imprescindibile per la salute pubblica
L'assistenza sanitaria per tutti imprescindibile per la salute pubblica

Giorgia Casti

Epidemiologia della Sars-Cov-2: i numeri contano!

23 maggio 2020 - Alla base dell'identificazione dei soggetti a rischio in una popolazione e della pianificazione delle misure più efficaci per limitare la diffusione di una patologia, vi è lo studio epidemiologico della stessa. Gli obiettivi di questo articolo consistono nell’esaminare le principali caratteristiche epidemiologiche della pandemia da Sars-Cov-2, analizzarne i dati globali, europei e italiani, focalizzandosi sulla popolazione pediatrica. I bambini sembrano meno interessati rispetto agli adulti, con una prevalenza di casi nelle sottopopolazioni pediatriche di età maggiore e nel sesso maschile. Pur assumendo una possibile sottostima dei casi pediatrici poiché asintomatici o a causa della loro presentazione clinica di entità lieve, l’analisi dei dati evidenzia che i bambini godono di una buona prognosi in termini di necessità di ricovero e di evoluzione del quadro clinico.

Link

http://www.jpnim.com/index.php/jpnim/article/view/090203

 

I bambini e il Covid, riflessioni cliniche interessanti
I bambini e il Covid, riflessioni cliniche interessanti

Matteo Ceccarelli

Simulazioni molecolari e lotta al COVID-19

Il COVID-19, allo stesso modo di altri virus, usa l’endocitosi e il sistema endo/lisosomiale per entrare nella cellula. Questo processo è controllato da pori di dimensioni nanometriche aperti nella membrana dei lisosomi, detti “canali ionici intracellulari”. Capire i meccanismi di funzionamento e il ruolo di questi canali nel governo del “trafficking” cellulare rappresenta una sfida importante, oggi più che mai attuale, della moderna biofisica computazionale. Combinando metodi di fisica molecolare con la potenza di elaborazione offerta dalle moderne piattaforme di super-calcolo, è possibile studiare a livello fondamentale i meccanismi di transito di varie specie molecolari attraverso i canali ionici. Compresi questi meccanismi è successivamente possibile sviluppare molecole che hanno come proprio bersaglio terapeutico gli stessi canali intracellulari: inibendone il funzionamento, si può impedire il rilascio di un virus verso il citoplasma cellulare, così prevenendo l’infezione.

Link agli articoli:

Link al video:

Canale TPC2 umano
Canale TPC2 umano

Sofia Cosentino

Qual è il rischio di contrarre il nuovo coronavirus per via alimentare?

16 aprile 2020 - Attualmente non ci sono prove che il cibo rappresenti un probabile veicolo di trasmissione del virus. Scienziati ed enti di tutto il mondo stanno monitorando la diffusione del virus e non si registrano segnalazioni di trasmissione tramite il cibo. In un recente articolo, ‘Jama Patient Page’ ha fornito alcune utili e pratiche indicazioni su come comportarsi mentre si compra il cibo, lo si conserva in casa e lo si prepara. Mentre si fa la spesa, oltre al rispetto della distanza interpersonale, viene suggerito di pulire con salviette disinfettanti per le mani le impugnature del carrello o del cestino per la spesa. Una volta a casa, considerando che è stato evidenziato che la resistenza del virus sulle superfici non va generalmente oltre le 72 ore, e già dopo 24 si ha una significativa riduzione della capacità infettante, viene consigliato di eliminare subito eventuali confezioni esterne o i sacchetti monouso utilizzati, pulire le superfici della cucina con cui sono entrate a contatto e lavare accuratamente le mani al termine delle operazioni.

Link

https://jamanetwork.com/journals/jama/fullarticle/2764560

 

Massima igiene prima e dopo i contatti con gli alimenti
Massima igiene prima e dopo i contatti con gli alimenti

Prevenzione del coronavirus: le mascherine chirurgiche sono davvero efficaci?

26 aprile 2020 - Si parla tanto negli ultimi tempi della necessità di indossare le mascherine come ausilio nella prevenzione della diffusione del nuovo coronavirus Sars-Cov-2. Un articolo recentemente pubblicato su Nature Medicine ha cercato di fare chiarezza sull’effettivo ruolo delle mascherine chirurgiche nella prevenzione di questa patologia, misurando la quantità di virus emessi da 246 pazienti randomizzati in due gruppi, uno che indossava la mascherina ed uno senza. Per queste valutazioni sono stati utilizzati pazienti sintomatici per influenza, rhinovirus e coronavirus (non però il Sars-Cov-2). I risultati hanno evidenziato che l’uso di mascherine chirurgiche è efficace nel diminuire il ritrovamento e la quantità di particelle virali di coronavirs nelle goccioline di saliva (P= 0.04 e 0.02, rispettivamente), è efficace nel ridurre l’emissione del virus influenzale attraverso i droplets (P= 0.04), mentre un effetto non significativo è stato osservato per i rhinovirus.virs e, in minor misura, del virus influenzale, mentre uno scarso effetto è stato osservato per i rhinovirus.

Link

https://www.nature.com/articles/s41591-020-0843-2.pdf

 

Maschere anti virus, tra prenvezione e ricerca
Maschere anti virus, tra prenvezione e ricerca

Antonio Crisafulli e Pasquale Pagliaro

Attività fisica e inattività al tempo di Covid-19

20 maggio 2020 - In questo “Commentary Paper”, pubblicato su European Journal of Preventive Cardiology, sono analizzati alcuni possibili effetti della pandemia Covid-19 in ambito cardiovascolare. In particolare, sono stati presi in considerazione alcuni aspetti inerenti l’esercizio fisico, il sistema renina angiotensina, con il suo enzima Ace2 usato dal virus per invadere il nostro organismo, e l’attività fisica. L’enzima Ace2 entra in gioco nella regolazione di importanti regolazioni omeostatiche del nostro organismo. Tra le altre la pressione arteriosa, le funzioni endoteliali e la coagulazione. Una attività fisica regolare comporta un aumento dell’attività di questo enzima, con effetti benefici sulla pressione arteriosa e sui fattori di rischio cardiovascolari. La ridotta attività fisica imposta dalla recente quarantena e dalle restrizioni all’attività di gruppo dovute alla pandemia possono avere effetti deleteri sui fattori di rischio cardiovascolare. Considerati gli effetti di un’attività fisica regolare sulla prevenzione delle malattie cardiovascolari e metaboliche, il suggerimento è quello di continuare il più possibile a fare una vita attiva e di praticare sport nei limiti del consentito dall’attuale emergenza e nel rispetto delle norme igieniche e di distanziamento necessarie al contenimento del contagio.
Link

https://journals.sagepub.com/doi/full/10.1177/2047487320927597

 

 

 

Sport, vita attiva e all'aria aperta, con cautela e giudizio
Sport, vita attiva e all'aria aperta, con cautela e giudizio

Sara De Matteis

Tasso di mortalità e caratteristiche dei pazienti che muoiono in Italia in relazione a Covid-19
 
31 marzo 2020 -
Una questione assai dibattuta nella comunità scientifica, ma ancora senza una chiara spiegazione, è la maggiore mortalità da Covid-19 in Italia, rispetto alla Cina, dove la pandemia è originata. In questo interessante articolo pubblicato di recente su Jama, e accessibile a tutti si cerca di rispondere a questo quesito. In breve, gli autori ipotizzano che siano tre le cause più probabili della maggiore mortalità stimata in Italia: 1) la maggiore prevalenza di anziani (>65 anni) nella popolazione Italiana; 2) la definizione piu ‘sensibile’ di decesso da Covid-19. Infatti, basta la positività al test per coronavirus in un deceduto per polmonite per attribuire la morte a Covid-19 e non ad altre cause, come ad esempio altre patologie croniche preesistenti; 3) la concentrazione dei test di screening per coronavirus solo ai casi sintomatici severi o complicati di covid-19, laddove in Cina anche asintomatici nella popolazione generale sono stati testati, così artificiosamente riducendo il ‘denominatore’ dei contagiati.

Link all’articolo

https://jamanetwork.com/journals/jama/fullarticle/2763667?guestAccessKey=60f6f66e-6f76-4f38-b3b1-efa4de9f687b&utm_content=weekly_highlights&utm_term=032820&utm_source=silverchair&utm_campaign=jama_network&cmp=1&utm_medium=email

La ricerca corre su tutti i fronti: lo studio pubblicato dalla rivista internazionale Jama
La ricerca corre su tutti i fronti: lo studio pubblicato dalla rivista internazionale Jama

Paola Fadda

Il farmaco sperimentale Remdesivir può essere efficace contro il Covid-19? Lo diranno gli studi clinici

29 marzo 2020 - Come sottolineato dall’immunologo Alberto Mantovani in un’intervista rilasciata due giorni fa "Nell'emergenza vengono usati strumenti terapeutici diversi, pur senza avere evidenza chiara del loro funzionamento, con lo scopo di aiutare il paziente". Un approccio per la scoperta di farmaci utili nell’attuale emergenza Covid-19, consiste nel verificare se farmaci antivirali esistenti siano efficaci nel trattamento di questa nuova infezione virale. Numerosi farmaci, come ribavirina, interferone, lopinavir-ritonavir e corticosteroidi sono stati usati in pazienti con Sars/Mers-Cv, sebbene l'efficacia di alcuni di questi rimanga controversa. L’Agenzia italiana del farmaco (Aifa) ha comunicato che l’Italia parteciperà a due studi di fase 3 per valutare l’efficacia e la sicurezza del remdesivir in pazienti ricoverati con diagnosi di Covid-19. Il remdesivir è un antivirale della classe degli analoghi nucleotidici che è stato sviluppato per combattere infezioni da virus Rna, incluso Sars/Mers-CoV ed è attualmente in sviluppo clinico per il trattamento dell’infezione da Ebola. Remdesivir viene fornito per uso compassionevole per il trattamento in emergenza di pazienti affetti da Covid-19 in gravi condizioni e senza valide alternative terapeutiche.

Link agli articoli

La verifica dei farmaci esistenti e potenzialmente utili
La verifica dei farmaci esistenti e potenzialmente utili

Febbre e tosse non sono i soli sintomi precoci da Coronavirus: quelli neurologici sembrerebbero davvero importanti per una diagnosi tempestiva

9 aprile 2020 - Il Covid-19 spaventa l’intero mondo e i ricercatori lo studiano senza sosta nel tentativo di trovare una cura adeguata. Moltissime infezioni virali possono danneggiare gravemente la struttura e la funzionalità del sistema nervoso causando patologie come encefalite centrale, encefalopatia tossica e gravi lesioni demielinizzanti. Con l'attuale pandemia Covid-19, risulta quindi molto importante sensibilizzare i medici a considerare l'impatto che Covid-19 potrebbe avere sul sistema nervoso centrale. Nella ricerca che troviamo al link sottostante è riportato che oltre ai sintomi sistemici e respiratori, il 36,4 per cento dei pazienti con Covid-19 sviluppa sintomi neurologici precoci come mal di testa, disturbi di coscienza e parestesia. Il lavoro citato conclude quindi ipotizzando che i pazienti con infezioni da Covid-19 devono essere valutati per la possibile presenza di sintomi neurologici. Un’analisi tempestiva del liquido cerebrospinale e la consapevolezza e la gestione delle complicanze neurologiche correlate all'infezione potrebbero quindi risultare fondamentali per migliorare la prognosi dei pazienti critici.

Link

Consapevolezza e gestione accurata delle complicanze neurologiche decisive per i pazienti affetti da Coronavirus
Consapevolezza e gestione accurata delle complicanze neurologiche decisive per i pazienti affetti da Coronavirus

Vassilios Fanos

Il microbiota polmonare nella patologia respiratoria acuta: dal Coronavirus alla metabolomica

26 aprile 2020 - Nell’ultimo decennio è stato dimostrato che il polmone normale ha un suo specifico microbiota. Con un numero stimato di 10–100 batteri per mille cellule umane, il tratto respiratorio inferiore è una delle superfici meno popolate da batteri dell’intero corpo umano. La composizione del microbiota polmonare dipende da molti fattori tra i quali particolarmente importanti sono la cosiddetta “immigrazione microbica” da microaspirazione e da inalazione di microrganismi. Il microbiota dell’intestino e quello del polmone vanno a braccetto: l’asse intestino-polmone. Nelle malattie acute del polmone come la sepsi, i traumi, e la sindrome da Distress respiratorio acuto, il microbiota polmonare diventa ricco di batteri intestinali, quali Bacteroidetes ed Enterobacteriacee. Questo fenomeno è chiamato anche “more gut in the lung” (“più intestino nel polmone”). In situazioni acute, l’intestino diventa iperpermeabile (leaky gut) e i batteri possono traslocare attraverso la parete del colon e raggiungere il polmone influenzando l’infiammazione, l’infezione e il danno polmonare acuto. In particolare i cambiamenti nel microbiota polmonare possono aiutare a prevedere in che misura i pazienti in condizioni critiche risponderanno alle cure. È possibile anche che, attraverso una modulazione dei recettori Ace2, il microbiota possa influenzare l’andamento di Covid-19. Nel futuro la metabolomica potrà essere applicata allo studio di Covid-19.

Hanno collaborato Maria Cristina Pintus, Roberta Pintus, Maria Antonietta Marcialis

Link

http://www.jpnim.com/index.php/jpnim/article/view/090139/691

 

Il Covid-19 e la sindrome da Distress respiratorio acuto
Il Covid-19 e la sindrome da Distress respiratorio acuto

Stefano Forestieri

Relazione tra gravidanza e coronavirus: cosa sappiamo

9 giugno 2020 - La gravidanza si caratterizza per alcuni cambiamenti a carico sia del sistema immunitario che della fisiologia polmonare, che esporrebbero le donne incinte ad una maggiore suscettibilità alle infezioni virali e ad una maggiore severità di queste. Scopo della revisione è stato quello di verificare se tali affermazioni fossero valide anche in caso di infezioni da Coronavirus, con particolare riferimento alla attuale pandemia da Sars-Cov-2.Mentre le passate epidemie di Sars e Mers (causate da altre due specie di coronavirus) hanno effettivamente costituito un serio pericolo per la salute materno-fetale quando contratte durante la gravidanza, la Covid-19 invece si presentava nelle gestanti con frequenza e severità analoghe alla popolazione generale. Nello studio sono trattate tematiche come la modalità di espletamento del parto, l’allattamento al seno e la trasmissione verticale dell’infezione, che per il Sars-Cov-2 non è stata ancora completamente esclusa.

Link

https://www.tandfonline.com/doi/full/10.1080/14767058.2020.1771692

 

L'immagine sintetizza il focus scientifico firmato dal dottor Forestieri
L'immagine sintetizza il focus scientifico firmato dal dottor Forestieri

Mirko Manchia, Federica Pinna, Bernardo Carpiniello

Vecchi (psico) farmaci per nuovi scopi: un ruolo nel trattamento del Covid-19?

Mirko Manchia, Federica Pinna, Bernardo Carpiniello

8 aprile 2020 - La pandemia Sars-CoV-2 che causa la malattia a esso associata (Covid-19), ha evidenziato la necessità impellente di trovare trattamenti efficaci. Questo però, si scontra con le scarse opzioni terapeutiche disponibili. Al momento in attesa dello sviluppo di un vaccino, si utilizzano opzioni terapeutiche già disponibili per altre condizioni mediche. In questo contesto, nuove opportunità terapeutiche possono nascere da sofisticate analisi che mettono in luce le interazioni tra le proteine del Sars-CoV-2 e le proteine espresse nel nostro organismo. Attraverso questo approccio sono state identificate 67 proteine umane che interagiscono significativamente con le proteine del Sars-CoV-2 e che sono prese di mira da 69 farmaci esistenti approvati dalle principali agenzie regolatorie del farmaco con diverse indicazioni. Di grande interesse il dato che due farmaci usati regolarmente in psicofarmacologia, l’acido valproico e l’aloperidolo, interagiscono con alcune di queste proteine che sono bersaglio del Sars-CoV-2. L’acido valproico attraverso l’inibizione dell’istone deacetilasi di tipo 2, e l’aloperidolo attraverso i recettori sigma 1 di cui è parziale agonista. Pertanto, si ipotizza che questi due farmaci, utilizzati nel trattamento di alcune patologie mentali possano avere un ruolo nel trattamento del Covid-19, anche se sono necessari ulteriori studi.

Link

https://www.biorxiv.org/content/10.1101/2020.03.22.002386v3

Sessantasette proteine umane interagiscono con quelle del Sars-Cov-2
Sessantasette proteine umane interagiscono con quelle del Sars-Cov-2

Aldo Manzin

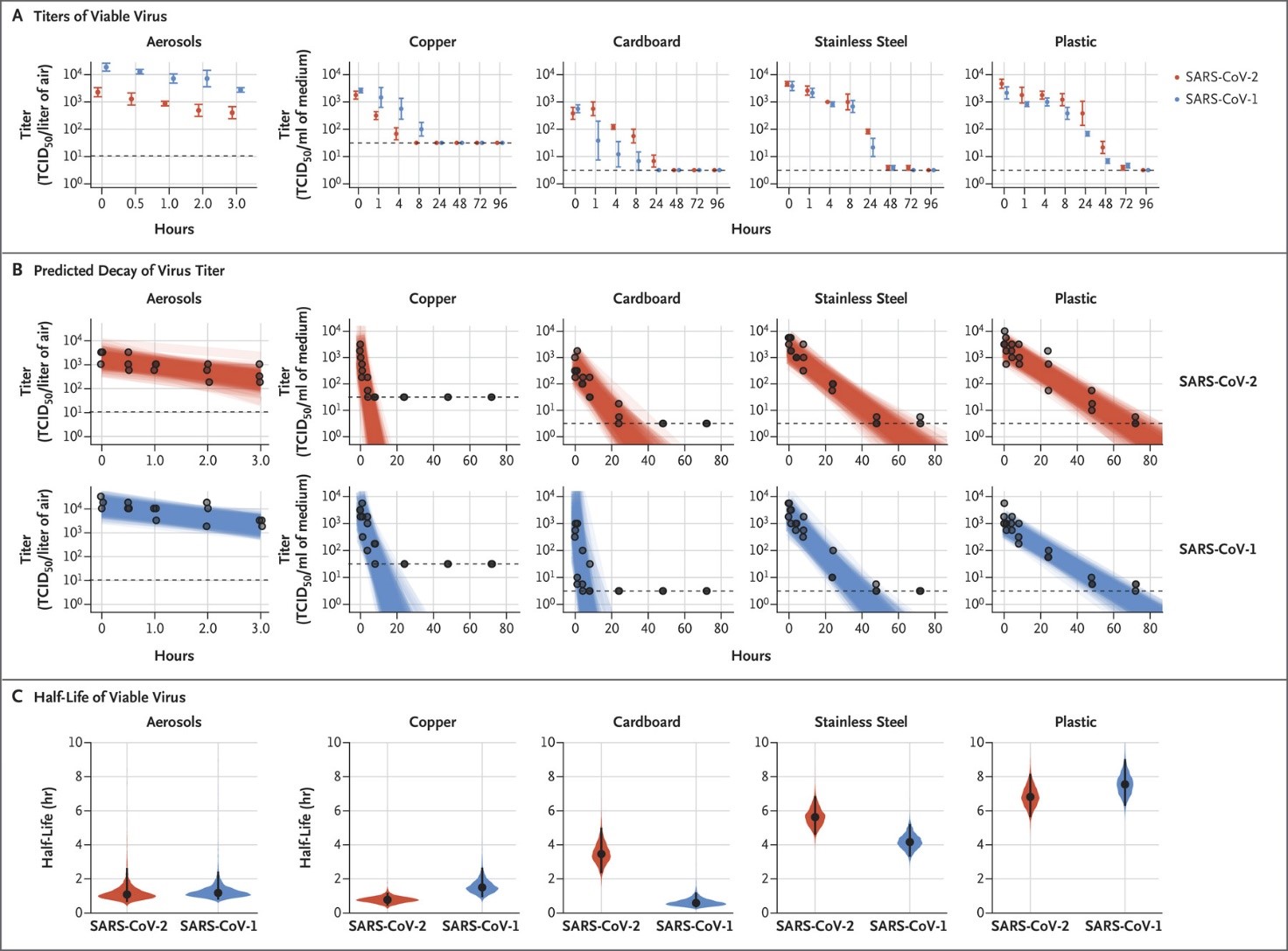
Per quanto tempo il virus Sars-Cov-2 rimane infettivo nell’ambiente?
 
24 marzo 2020 - Il virus responsabile della malattia conosciuta come Covid-19 viene trasmesso attraverso l’emissione di goccioline di saliva, con gli starnuti e i colpi di tosse da parte di un soggetto infetto e malato, oppure da un soggetto infetto asintomatico o con pochi sintomi (febbricola, mal di gola, un po’ di tosse). Il virus entra direttamente in contato con le mucose di un individuo suscettibile e può anche contaminare l’ambiente (superfici e oggetti vari). Un recente studio pubblicato su Nejm) dimostra che il virus persiste e può essere infettivo fino a tre ore nell’aerosol disperso e da qualche ora fino ad un massimo di tre giorni su materiali diversi (poche ore su rame e cartone, fino a 2-3 giorni su acciaio inossidabile e plastica), seppure con cariche infettanti che si riducono con il passare delle ore. Questi risultati sottolineano il ruolo della possibile trasmissione del virus anche attraverso le mani portate alla bocca o agli occhi dopo il contatto con superfici o oggetti contaminati da poco.

Link

www.nejm.org/doi/full/10.1056/NEJMc2004973?query=featured_home

La contaminazione dell'ambiente
La contaminazione dell'ambiente

Il Coronavirus è il risultato di una manipolazione in laboratorio?  
 
24 marzo 2020 - Questo interessante articolo, apparso in forma di Correspondence Article sulla prestigiosa rivista Nature Medicine qualche giorno fa, sgombra il campo da qualsiasi ipotesi complottista che vuole il virus responsabile dell’attuale epidemia di Covid-19 derivato da una manipolazione fatta in laboratorio per creare un’arma biologica a scopo di bioterrorismo o altro. Le ipotesi che invece vengono avanzate riguardano l’emergenza di poche mutazioni nel genoma che hanno permesso ad un virus del pipistrello (serbatoio naturale) di legarsi efficacemente ad un recettore adatto presente nelle cellule umane (Ace2) e la possibilità che tali modificazioni siano avvenute a seguito o di una selezione naturale nell’ospite animale prima del trasferimento all’uomo (salto di specie, o spillover); o a seguito di una selezione della variante dopo che il virus è passato all’uomo. Quello che ancora non è chiaro è se il virus si sia trasferito all’uomo direttamente dal pipistrello o attraverso un passaggio intermedio in un altro animale, presumibilmente un mammifero.

Link

www.nature.com/articles/s41591-020-0820-9

L'origine del virus Covid-19
L'origine del virus Covid-19

Quanto è importante ricercare nel sangue gli anticorpi contro Sars-Cov-2?

25 marzo 2020 - In questi giorni si sta discutendo sull’opportunità di utilizzare saggi di laboratorio per la ricerca nel sangue degli anticorpi contro Sars-CoV-2, da affiancare alla ricerca diretta del virus da tampone. Tale sistema consente di individuare la risposta precoce (IgM) e poi la risposta sostenuta (IgG) negli individui che sono entrati a contatto con il virus, indipendentemente dall’aver sviluppato o meno i sintomi della malattia. Lo studio in questione ha dimostrato che la risposta anticorpale (IgM) si evidenzia dopo circa cinque giorni dalla comparsa dei sintomi e quindi è in grado di confermare la diagnosi in circa il 99% dei casi, mentre la ricerca molecolare da tampone si attesta a valori molto più bassi. I risultati indicano che da un punto di vista epidemiologico la rilevazione degli anticorpi consentirà di valutare con maggiore precisione la tracciabilità e la portata della diffusione del virus una volta esaurita l’ondata epidemica. Da un punto di vista diagnostico il ruolo della sierodiagnosi è però ancora in discussione, soprattutto perché la maggior parte dei sistemi attualmente proposti deve ancora essere validata e consolidata prima di poter essere utilmente impiegata nella routine di laboratorio.

Link

https://academic.oup.com/cid/advancearticle/doi/10.1093/cid/ciaa310/5810754

A caccia degli anticorpi
A caccia degli anticorpi

Il virus Sars-Cov-2 è in grado di infettare le cellule nervose?
 
27 marzo 2020 - Tra i sintomi che un individuo infetto da Sars-CoV-2 può manifestare anche precocemente sono stati riportati la notevole diminuzione del senso dell’olfatto (anosmia) e l’alterato o ridotto senso del gusto (disgeusia o ageusia). Similmente a Sars-CoV e Mers-CoV questo virus ha la capacità di invadere il sistema nervoso centrale risalendo lungo le fibre del nervo olfattivo, o attraversando la barriera ematoencefalica, infettando le cellule nervose ed in particolare i neuroni dei centri bulbari che regolano le funzioni cardiovascolari. Si suppone che il danno provocato a livello neuronale possa contribuire all’insufficienza respiratoria acuta nei pazienti con Covid-19 ed essere corresponsabile in alcuni casi dell’esito fatale della malattia. Si suggerisce pertanto di monitorare i pazienti dal punto di vista neurologico, nella fase precoce per predire l’evoluzione verso la malattia conclamata, e successivamente per la migliore gestione cinico-terapeutica dei malati più gravi. Così come sarebbe utile procedere all’autopsia dei soggetti deceduti per valutare meglio l’entità della compromissione del sistema nervoso: procedura che non viene attualmente eseguita, anche per motivi di sicurezza degli operatori.

Link

www.the-scientist.com/news-opinion/lost-smell-and-taste-hint-covid-19-can-target-the-nervous-system-67312

https://pubs.acs.org/doi/10.1021/acschemneuro.0c00122

Neurotropismo. In fase precoce il Covid-19 può rivelarsi anche con alterazioni ai sensi dell'olfatto e del gusto
Neurotropismo. In fase precoce il Covid-19 può rivelarsi anche con alterazioni ai sensi dell'olfatto e del gusto

Mutare o non mutare: questo è il dilemma

9 aprile 2020 -  I virus (e non solo) vanno incontro a mutazioni del genoma durante la loro replicazione. Più un virus replica, maggiori sono le possibilità che vengano introdotte “per errore” delle mutazioni nel genoma. Questo è particolarmente vero per i virus a Rna, perché il loro enzima replicativo, l’Rna polimerasi, non è in grado di correggere gli errori che portano spontaneamente all’accumulo di mutazioni. Sars-CoV-2 non si sottrae a questo principio: anzi, alcune mutazioni nella glicoproteina “S” (spike) del virus hanno permesso il salto di specie dall’ospite animale all’uomo e la rapida diffusione del virus nella popolazione. Dalla prima comparsa in Cina il virus si è diffuso in tutte le regioni del mondo e ha continuato a mutare, seppure in maniera limitata: la maggior parte delle mutazioni consiste però in cambiamenti “silenti” non in grado cioè di generare aminoacidi diversi, e quindi sono “senza significato”, non producendo effetti evidenti. Potrebbero queste mutazioni determinare l’emergenza di virus più aggressivi, più patogeni? E’ poco probabile: il virus muta poco perché non è sottoposto alla pressione selettiva della risposta immune dell’ospite, che non è presente nella popolazione generale fino ad avvenuta infezione, né da parte di farmaci, perché non ci sono terapie specifiche per Covid-19, né esiste ancora un vaccino il cui uso “costringerebbe” il virus a ricercare vie di fuga attraverso la generazione di mutazioni che sfuggano la risposta immune indotta. Inoltre, e cosa forse più importante, seppure sia arduo ipotizzare quale strada evolutiva percorrerà il virus, fintantochè esso avrà la possibilità di circolare quasi indisturbato nella popolazione non avrà alcun interesse a diventare più aggressivo e più letale, perché più saranno i malati gravi e i morti procurati, minore sarà la possibilità che il virus sia trasmesso ad altri ospiti. I virus hanno necessità di diffondersi per sopravvivere, e per raggiungere questo scopo non hanno alcun interesse a sterminare i propri ospiti. Lo insegna la storia evolutiva della maggior parte dei virus.

Link

https://www.nature.com/articles/s41564-020-0690-4

 

 

 

Il terrore legato alle possibili mutazioni del Coronavirus
Il terrore legato alle possibili mutazioni del Coronavirus

Ancora sulle mutazioni di Sars-Cov-2

15 aprile 2020 - In un recente articolo apparso su BioRxiv, quindi non ancora vagliato dalla revisione tra pari, gli autori riportano un cluster di 8 pazienti di Singapore positivi a Covid-19 in cui il genoma virale presenta una delezione di 382 nucleotidi. Tale mutazione comporta la rimozione quasi totale di un’intera cornice aperta di lettura (open reading frame, Orf), la Orf8, compreso un fattore di regolazione trascrizionale per l’espressione del gene N. Mutazioni e delezioni simili (anche se meno estese) sono già state descritte in passato per altri coronavirus Sars-correlati: in particolare, tale mutazione sarebbe associata ad un fenotipo attenuato indotto durante la fase precoce di adattamento del virus alla trasmissione interumana. L’osservazione è particolarmente interessante, in quanto potrebbe confermare l’ipotesi che mutazioni adattative del virus possono indurre una ridotta virulenza e perché tale delezione potrebbe rappresentare un importante marcatore molecolare per tracciare i singoli virus e capire come e in quanto tempo si diffondono.

Link

https://www.biorxiv.org/content/10.1101/2020.03.11.987222v1

 

La comparazione del genoma di Sars-CoV-2 e di altri Sars-CoV
La comparazione del genoma di Sars-CoV-2 e di altri Sars-CoV

Covid-19 è una malattia sistemica, non limitata all’apparato respiratorio

23 aprile 2020 - Nella sezione News della rivista Science si ricorda come i malati gravi di Covid-19 siano affetti da una malattia sistemica e non limitata al solo apparato respiratorio. Il virus è in grado di provocare una polmonite grave, ma le complicanze maggiori della malattia sono da attribuire ad una reazione immunitaria esagerata dovuta alla liberazione massiccia di citochine e linfochine (cosiddetta “tempesta citochinica”). Il virus riconosce le cellule dell’ospite legandosi al recettore Ace2, che è espresso alla superficie di numerosi tipi di cellule del nostro organismo: gli organi interessati dall’infezione possono essere, tra gli altri, il cuore e i vasi sanguigni, i reni, il sistema nervoso centrale, l’intestino, gli occhi, il fegato. Si configura pertanto una sindrome sistemica con coinvolgimento multiorgano solo in parte dovuta all’azione diretta del virus, ma che invece è principalmente provocata dalla risposta infiammatoria abnorme, in particolare dall’innesco della cascata coagulativa con conseguente trombosi dei vasi e del microcircolo (compreso quello polmonare) e insufficiente apporto di ossigeno ai tessuti. Quello che non è ancora chiaro è come nella grande maggioranza dei casi l’infezione risulta del tutto asintomatica (o paucisintomatica) e in casi limitati ha un decorso invece così grave.

Link

https://www.sciencemag.org/news/2020/04/how-does-coronavirus-kill-clinicians-trace-ferocious-rampage-through-body-brain-toes

 

Una sindrome con un coinvolgimento multiorgano
Una sindrome con un coinvolgimento multiorgano

Un promettente vaccino anti- Sars-Cov-2

25 aprile 2020 - In risposta alla urgente necessità di controllare il diffondersi della pandemia Covid-19 e in linea con lo sforzo comune di trovare delle strategie di prevenzione efficaci, sicure e di facile applicazione, la rivista BioRxiv pochi giorni fa ha reso pubblico un preprint dal titolo “Rapid development of an inactivated vaccine for Sars-CoV-2”. Si tratta di un lavoro che deve ancora superare la revisione tra pari, ma l’articolo propone una valida soluzione vaccinale basata su solidi dati sperimentali. Gli autori, infatti, hanno svolto esperimenti su diversi modelli animali e hanno dimostrato che una versione inattivata e purificata di Sars-CoV-2 (PiCoVacc) è in grado di indurre una completa protezione in primati non umani contro i principali ceppi virali circolanti a livello globale e una potente risposta anticorpale neutralizzante priva di effetti da aumentata immunopatogenicità (cosiddetta Ade). Sulla base dei risultati ottenuti gli autori propongono i primati non-umani come modello promettente per lo studio dell’infezione da Sars-CoV-2 in quanto sviluppano sintomi del tutto simili a Covid-19 e concludono sostenendo che tali evidenze costituirebbero il razionale per l’impiego di PiCoVacc nell’uomo.

Ha collaborato Fabrizio Angius

Link

https://doi.org/10.1101/2020.04.17.046375

I primati non umani? Un modello promettente per capire il Covid-19
I primati non umani? Un modello promettente per capire il Covid-19

Un promettente vaccino anti- SARS-CoV-2 – parte 2

9 maggio 2020 - E’ stato pubblicato sulla prestigiosa rivista Science il lavoro che precedentemente avevamo indicato in fase di pre-print. Si conferma che il candidato vaccino PicoVacc, costituito da virus Sars-Cov-2 inattivato, si è dimostrato efficace nell’indurre una risposta anticorpale protettiva (neutralizzante) quando inoculato in topi, ratti, e soprattutto in primati non umani. E’ un passo avanti importante nello sviluppo di un vaccino attivo contro le principali varianti di virus oggi circolanti e che potrebbe avere un utile impiego clinico nella prevenzione dell’infezione nell’uomo.

Ha collaborato Fabrizio Angius

Link

https://science.sciencemag.org/content/early/2020/05/06/science.abc1932?rss=1

 

In arrivo un vaccino "intelligente"? Su Science le prime indicazioni
In arrivo un vaccino "intelligente"? Su Science le prime indicazioni

Il pangolino è l’ospite animale intermedio di Sars-Cov-2

9 maggio 2020 - E’ noto che per molti coronavirus il pipistrello rappresenta l’ospite naturale ed è dimostrato che il virus responsabile dell’attuale pandemia di Covid-19 ha una sequenza genomica altamente correlata a quelle del virus della Sars e di una specie di pipistrello, suggerendo una possibile origine comune. Uno studio pubblicato pochi giorni fa sulla prestigiosa rivista Nature riporta che un virus isolato dal pangolino (un mammifero noto anche come formichiere squamoso) presenta un’altissima identità genomica con Sars-Cov-2. In particolare, nel lavoro si sottolinea che la sequenza che dà origine alla proteina S responsabile del sito di legame con il recettore cellulare presenta una quasi totale omologia tra i due virus, tranne che per un singolo amminoacido non critico. L’ipotesi formulata è che il virus si sarebbe originato dalla ricombinazione tra un coronavirus del mammifero e un virus simile del pipistrello, e che il pangolino possa rappresentare l’ospite intermedio di Sars-Cov-2 che si è trasferito nell’uomo. Gli autori concludono sostenendo che il coronavirus recentemente identificato in questo mammifero potrebbe rappresentare una reale minaccia futura per la salute pubblica se il commercio di specie selvatiche non venisse controllato efficacemente.

Ha collaborato Fabrizio Angius

Link

https://doi.org/10.1038/s41586-020-2313-x

Il pangolino è l'animale più trafficato illegalmente
Il pangolino è l'animale più trafficato illegalmente

Miriam Melis

La sperimentazione animale al tempo della Covid-19

26 marzo 2020 - Con il diffondersi della pandemia Covid-19, la ricerca di una cura o un vaccino diventa la priorità per tutti. Nonostante siano tanti i laboratori che ci lavorano in tutto il pianeta, questo obiettivo non è raggiungibile senza la sperimentazione animale.

Gli animali, già essenziali per testare efficacia e sicurezza di tutti i farmaci e vaccini sono ancora più preziosi perché forniscono modelli dotati degli stessi meccanismi con cui avviene la Covid-19. Per esempio, ci sono modelli che hanno la stessa proteina Ace2 dell’uomo, che permette al virus la penetrazione nelle cellule alveolari del polmone per replicarsi. Questo modello, sviluppato ai tempi della ricerca di un vaccino contro la Sars e poi messo da parte, è stato ora rimesso in produzione.

Purtroppo, i tempi biologici (la gravidanza) non consentiranno a tutti gli scienziati che li hanno richiesti da più di 50 laboratori di poterli usare prima di maggio. Già, maggio! Nell’unico laboratorio che dispone di questo modello, è in corso lo studio dei meccanismi di difesa immunitaria, utili per lo sviluppo di un vaccino, e di diversi farmaci per rallentarne il decorso. Gli altri laboratori però non sono fermi, e si utilizzano altri modelli animali per raggiungere l’obiettivo comune.

È chiaro che se i modelli preclinici non sono perfetti e da soli non potranno darci la cura, ciascuna informazione ottenuta dai questi modelli, integrata con le conoscenze che ci arrivano dalla clinica, rappresenta la carta vincente per una cura nel minore tempo possibile.

Link all’articolo:

La ricerca scientifica al servizio dell'uomo
La ricerca scientifica al servizio dell'uomo

Luigi Minerba

La mortalità in relazione all’epidemia di Covid-19

6 aprile 2020 - Con il diffondersi dell’epidemia è stato rilevato a livello locale un aumento del numero di morti spesso superiore a quello ufficialmente attribuito a Covid-19, pertanto la sorveglianza giornaliera della mortalità rappresenta uno strumento strategico al fine di valutare l’impatto sulla mortalità dell’epidemia, poiché consente di monitorare l’andamento temporale e di stimare l’incremento di mortalità associato direttamente e indirettamente alla diffusione del virus Covid-19. Nel periodo 1 febbraio – 28 marzo, i dati dell’andamento della mortalità giornaliera nelle diverse città (prodotti ed elaborati dal dipartimento di Epidemiologia della Regione Lazio) mostrano incrementi significativi in alcune città del nord, e una forte differenza degli incrementi di mortalità osservati per genere: più elevata negli uomini rispetto alle donne. I risultati mostrano inoltre un trend che aumenta con l’età sia al nord che al centro-sud. I possibili meccanismi che determinano differenze di genere nella gravità della malattia e nella mortalità per Covid-19 non sono chiari. Studi recenti suggeriscono che gli uomini con patologie pregresse hanno un quadro clinico più severo.

Link:

Wpr=Western Pacific region. Sear=South-East Asia region. Eu=European region. Emr=Eastern Mediterranean region. Amr=Region of the Americas. Afr=African region.
Wpr=Western Pacific region. Sear=South-East Asia region. Eu=European region. Emr=Eastern Mediterranean region. Amr=Region of the Americas. Afr=African region.

 

Caratteristiche epidemiologiche dei casi Covid-19 in Italia a un mese dall'epidemia

16 aprile 2020 - Analizzati i dati dal sistema nazionale di sorveglianza integrata al 24 marzo 2020, gli autori descrivono la “storia” epidemiologica basandosi sui primi 62.843 casi Covid-19 segnalati in Italia. Il 71,6 per cento è stato segnalato da tre Regioni (Lombardia, Veneto ed Emilia-Romagna), mentre le stime di R0 (il numero di persone che in media ogni infetto contagia) variavano tra 2,5 in Toscana e 3 nel Lazio, con un tempo di raddoppio dell'epidemia di 3,2 giorni e 2,9 giorni, rispettivamente. A partire dal 20-25 febbraio 2020 nelle regioni settentrionali, si è presentata una tendenza decrescente. 5.760 casi sono stati segnalati tra gli operatori sanitari, mentre dei 5.541 decessi associati a Covid-19, il 49 per cento si è verificato in persone di età pari o superiore a 80 anni con un tasso di mortalità complessivo grezzo dell'8,8 per cento. Il sesso e l'età maschile erano fattori di rischio indipendenti per la morte di Covid-19.

Link

https://www.medrxiv.org/content/10.1101/2020.04.08.20056861v1

L'evoluzione del contagio nel tempo e nei luoghi ha la rigorosa attenzione degli esperti
L'evoluzione del contagio nel tempo e nei luoghi ha la rigorosa attenzione degli esperti

La capacità di proteggere la salute nel contesto dell’epidemia di Covid-19: un’analisi dei dati della relazione annuale sui regolamenti internazionali di 182 Paesi


20 aprile 2020 - La disponibilità e la capacità di risposta dei servizi sanitari essenziali a livello di comunità è estremamente importante per ridurre al minimo gli impatti delle emergenze sanitarie. In particolare, le misure di sanità pubblica per la gestione delle epidemie, si basano sulla capacità dei sistemi sanitari nazionali e regionali di prevenire, rilevare, verificare, valutare e rispondere in conformità con le normative sanitarie internazionali. Nel lavoro presentato è stata valutata la capacità di risposta sanitaria di 182 stati, nel contesto dell’epidemia Covid-19, analizzando il più recente report di autovalutazione dell’applicazione di tali normative. Sono stati sviluppati cinque indici: (1) prevenire, (2) rilevare, (3) rispondere, (4) abilitare la funzione e (5) prontezza operativa, ed i Paesi sono stati classificati in cinque livelli di capacità di risposta, in cui il livello 1 indica quello più basso, il livello 5 il più alto. 

 

https://www.thelancet.com/journals/lancet/article/PIIS0140-6736(20)30553-5/fulltext

 

La gestione delle epidemie e la comparazione su scala internazionale
La gestione delle epidemie e la comparazione su scala internazionale

I test diagnostici: sensibilità, specificità e valore predittivo

27 aprile 2020 - Si discute molto, in questi giorni, di test diagnostici che saranno utilizzati per stimare in un campione di cittadini, la percentuale della popolazione immune al Sars-Cov-2. Il processo diagnostico è un processo imperfetto che conduce ad una probabilità di malattia, piuttosto che alla certezza. In medicina i test diagnostici o di screening, sono utilizzati per individuare o escludere una condizione patologica. I test, in misura variabile, presentano dei limiti sia nella capacità di riconoscere tutti i malati che nell’individuare tutti i sani: tali limiti sono espressi dal valore di sensibilità e di specificità. E’ di fondamentale importanza, inoltre, conoscere la probabilità del test di darci la diagnosi corretta, cioè il suo valore predittivo (positivo e negativo). In queste brevi note statistiche sono riportate le definizioni di sensibilità, specificità, valore predittivo, e il loro semplice metodo di calcolo, proposto negli anni ’90 da due autori Douglas Altman e Martin Bland, noti per il loro lavori sul miglioramento dell'affidabilità e la comunicazione della ricerca medica e per articoli molto citati sulla metodologia statistica.
Link

 

https://www.bmj.com/content/bmj/308/6943/1552.full.pdf

 

https://www.bmj.com/content/bmj/309/6947/102.1.full.pdf

Screening, a caccia della diagnosi corretta
Screening, a caccia della diagnosi corretta

Un modello per stimare i valori di riproduzione R che variano nel tempo, durante un’epidemia.

10 maggio 2020 - La quantificazione della trasmissibilità durante le epidemie è essenziale per progettare e adeguare le risposte della salute pubblica. La trasmissibilità può essere misurata dal numero di riproduzione R, il numero medio di casi secondari causati da un individuo infetto. In letteratura sono presenti diversi metodi per stimare la R nel corso di un'epidemia, complessi da implementare senza un forte background nella modellistica statistica. In questo lavoro pubblicato su American Journal of Epidemiology nel 2013, è presentato un metodo statistico consolidato che si basa sulla conoscenza della distribuzione del tempo di generazione e sulle serie temporale dei casi, utilizzato anche dall’Istituto superiore di sanità in collaborazione con la Bruno Kessler Foundation, per le stime di Rt. Nel lavoro è stato applicato il metodo a 5 focolai storici; le stime risultanti di R sono coerenti con quelle presentate in letteratura. Questo strumento dovrebbe aiutare gli epidemiologi a quantificare i cambiamenti temporali nell'intensità di trasmissione di epidemie utilizzando i dati di sorveglianza.

Link

https://www.ncbi.nlm.nih.gov/pmc/articles/PMC3816335/

Dai dati di sorveglianza al lavoro degli epidemiologi
Dai dati di sorveglianza al lavoro degli epidemiologi

Micaela Morelli

Esistono farmaci efficaci in uso o in sperimentazione per il Covid-19?
 
24 marzo 2020 - La rivista Le Scienze pubblica un interessante intervento della Società Italiana di farmacologia volto a fare chiarezza sulla presunta efficacia di farmaci utilizzati, in questi mesi, nella terapia del Covid-19. Nell’articolo si elenca una serie di farmaci impiegati in questo periodo chiedendosi se alcuni di questi riescano a contrastare la proliferazione del virus nei pazienti infetti oppure se la guarigione osservata sia stata spontanea. Covid-19 è un nuovo virus e, per identificare un farmaco capace di agire contro di esso, è necessario identificare la o le strutture del virus che si prestano a essere il bersaglio dei farmaci. Di conseguenza, come già nel caso dell’HIV, per non dovere aspettare l’approvazione di un nuovo farmaco, che può arrivare anche dopo 10-12 anni, si utilizzano farmaci già esistenti sulla base di ipotesi di efficacia derivanti dalle conoscenze della biologia molecolare del virus. In questo scenario, un principio condiviso da alcuni scienziati è quindi quello di usare farmaci già presenti nel mercato che abbiano un ampio spettro di attività e pochi e lievi effetti collaterali.

Link all’articolo: 

Farmaci in uso e in fase sperimentale
Farmaci in uso e in fase sperimentale

Potenziale efficacia di un vecchio farmaco, la clorochina, nella terapia del Covid-19

24 marzo 2020 - La clorochina, è un farmaco efficace in vitro contro una vasta gamma di virus. Aggiunto a culture di cellule, infatti, previene e contrasta la replicazione del virus. La clorochina è uno dei farmaci più prescritti al mondo in quanto è utilizzato nella prevenzione e cura della malaria. La clorochina alcalinizza gli endosomi ostacolando la fusione del virus alla cellula che è dipendente da un basso pH. L’analogo, idrossiclorochina, è inoltre utilizzato da lungo tempo nella terapia delle malattie autoimmuni quali il Lupus e l’artrite reumatoide. Nel primo articolo si descrive che la clorochina fosfato testata in oltre cento pazienti cinesi, sembra avere contrastato la polmonite causata dal Covid-19 e accorciato il decorso della malattia, quando somministrato nelle fasi iniziali della stessa. Nel secondo articolo si ipotizza che se i dati in vitro sulla clorochina verranno confermati dagli studi in vivo ottenuti in un numero ampio di pazienti, questo farmaco potrebbe essere utilizzato per la cura del Covid-19. I risultati sono tuttavia solo preliminari o ottenuti in vitro non avendo, al momento, un solido supporto scientifico.

Link agli articoli:

Clorochina, efficace in vitro contro una vasta gamma di virus
Clorochina, efficace in vitro contro una vasta gamma di virus

L’Accademia dei Lincei al tempo del Coronavirus

4 aprile 2020 - La Commissione Salute dell’Accademia nazionale dei Lincei ha reso pubblico un documento che sarà aggiornato tutti i mesi, in cui si affronta con criteri esclusivamente medico-scientifici, tutti gli aspetti del Coronavirus Sars-Cov-2 e della Covid-19. Dopo la descrizione del virus, inquadrato nella storia delle precedenti malattie da virus, il documento descrive l’infezione e la sua diffusione. Passa poi alla spiegazione delle strategie medico-epidemiologiche per il contenimento dell’infezione e alla descrizione della diagnosi attraverso tamponi o anticorpi per poi passare alla terapia attraverso i trattamenti essenziali e i potenziali farmaci. Nel documento inoltre è presente una bella illustrazione dei meccanismi dell’immunità. Infine, il documento affronta il tema delle varie tipologie di vaccini e delle problematiche connesse. Il documento conclude che, di fronte all’enorme tragedia provocata dalla pandemia, è necessario prendere in considerazione anche il disastro sociale ed economico che sta causando e chiedersi quanto il mondo nel suo complesso erano o avrebbero dovuto essere preparati.

Link:

https://www.lincei.it/it/article/covid-19-executive-report

 

Lo stemma dei Lincei
Lo stemma dei Lincei

Una tempesta in tutto il corpo

17 maggio 2020 - Un articolo pubblicato sulla rivista Science fa delle interessanti considerazioni sul danno che Covid-19 può causare a molti organi tra cui cuore e vasi sanguigni, reni, intestino e cervello. Sebbene i polmoni rappresentino il “ground zero” della malattia, il danno causato dal virus può estendersi a molti organi e la comprensione di questa diffusione, potrebbe aiutare i medici a curare le persone infette che si ammalano in maniera particolarmente grave. L’articolo si chiede: una tendenza pericolosa e recentemente osservata alla coagulazione del sangue, trasforma alcuni casi lievi in emergenze potenzialmente letali? Una risposta immunitaria troppo sollecita è alla base dei casi peggiori, suggerendo che il trattamento con farmaci immunosoppressori potrebbe aiutare? Cosa spiega l'ossigeno nel sangue sorprendentemente basso che alcuni medici segnalano in pazienti che non hanno ancora problemi respiratori? Adottare un approccio sistemico può essere utile quando si inizia a pensare alle terapie. Nonostante i numerosi articoli che si riversano su riviste e server, un'immagine chiara è ancora sfuggente, poiché il virus si comporta come nessun patogeno che l'umanità abbia mai visto.

Link

https://science.sciencemag.org/content/368/6489/356.long

Encefalite sviluppata da una paziente Covid19
Encefalite sviluppata da una paziente Covid19

Germano Orrù

I test diagnostici per Sars-Cov-2 tra mito e realtà

8 maggio 2020 - La pandemia di Covid-19 è ancora in continua evoluzione, così come la corretta interpretazione dei dati clinici e di laboratorio. Per questi ultimi abbiamo assistito a diverse fasi di sviluppo, dai sistemi homemade alla rapida produzione di kit commerciali diretti, atti a rilevare l’Rna virale, fino ai sistemi sierologici indiretti. Nonostante l’enorme sforzo tecnologico messo in atto da numerosi gruppi pubblici e privati, nella diagnosi di laboratorio per Sars-Cov-2 esistono ancora delle criticità importanti. Questo aspetto è efficacemente analizzato in una recentissima revisione di Sethuraman et al., la quale chiarisce le difficoltà interpretative per i test di laboratorio nell’ambito del Covid-19. Considerando due metodiche affidabili: Rt-Pcr ed Elisa, volte a rilevare rispettivamente le sequenze di Rna virale e la produzione di anticorpi (Igm e Igg), gli autori offrono diversi punti di riflessione. In un’ampia coorte di soggetti, adulti e non immunodepressi, i titoli dei marcatori molecolari variavano notevolmente nel tempo e per tipo di prelievo (tampone oro-faringeo, feci e lavaggio bronco-alveolare), questo richiede un’attenta e diversa valutazione dei marker nei diversi periodi dell’infezione. In particolare i risultati suggeriscono la necessità dell’utilizzo contemporaneo di diversi test nella fase della malattia clinicamente evidente, ma nel contempo per il paziente di contagio recente asintomatico o paucisintomatico, rivelano una zona oscura, sfuggente con le procedure attuali della diagnostica. Aspetto di non poco conto, in grado di minare il mito del test per tutti.

Link

https://jamanetwork.com/journals/jama/fullarticle/2765837?fbclid=IwAR00CYvv1vT9tDmTwDFLBZ9-xbKc6PS7Q8oz5Nf4B_qsY2wLxnmpiGgswG4#nav

Tra pazienti asintomatici, paucisintomatici e zona oscura
Tra pazienti asintomatici, paucisintomatici e zona oscura

Alessandra Pani

Ricerca, multidisciplinarietà, nuove tecnologie e conoscenze pregresse forse ci regaleranno un vaccino anti-Sars-CoV2 prima dei tempi previsti

6 aprile 2020 - Ne stanno parlando in questi giorni tutti i quotidiani e i telegiornali dopo l'annuncio degli stessi ricercatori che lo hanno sviluppato alla University of Pittsburgh School of Medicine, coordinati dall'italiano Andrea Gambotto e da Louis Falo. I risultati della messa a punto di un vaccino Sars-CoV2, che i ricercatori hanno chiamato PittCoVacc, sono stati pubblicati su EbioMedicine, una rivista scientifica del gruppo Lancet. Il principio vaccinante è costituito dalla regione recettoriale della proteina spike S1 (quella che consente al virus di infettare le cellule), ma l'aspetto veramente innovativo di questo vaccino è il mezzo di somministrazione. Si basa infatti sull’impiego di un cerotto con 400 minuscoli aghi, fatti di glucosio motificato e contenenti i frammenti di proteina spike, che si dissolvono una volta penetrati nell'epidermide liberando la proteina dove la reazione immunitaria è più forte. Il PittCoVacc ha già dimostrato la capacità di indurre nei topi la produzione di un elevato titolo anticorpale in poche settimane ed e' quindi pronto per essere testato nell'uomo. Fda permettendo.

Link:

https://doi.org/10.1016/j.ebiom.2020.102743

Sars-CoV2: il vaccino in un cerotto sarà pronto in autunno?
Sars-CoV2: il vaccino in un cerotto sarà pronto in autunno?

Come rintracciare le fonti di infezione del Covid-19 non documentate per prevenire le paventate 'seconde ondate' e le infezioni ricorrenti?

22 aprile 2020 - Una risposta arriva da uno studio pubblicato sulla rivista scientifica americana Pnas da un gruppo di ricercatori inglesi e tedeschi i quali hanno svolto una ricerca filogenetica di 160 genomi di Sars-Cov-2 campionati da tutto il mondo. La rete filogenetica nella figura, ricostruisce i percorsi evolutivi nell'ospite umano, tracciando fedelmente le rotte di infezione per i casi documentati di malattia di Covid-19 ed evidenziando tre varianti principali del coronavirus del pipistrello, denominate A, B e C. La variante A, che è il tipo ancestrale derivato dal pistrello, e quella C si trovano in proporzioni significative al di fuori dell'Asia orientale, in particolare negli europei e negli americani. La variante B è invece la più comune in Asia orientale e il suo genoma ancestrale sembra non essersi diffuso al di fuori dell'Asia orientale senza prima mutare in tipi B derivati, indicando la resistenza immunologica o ambientale contro questo tipo al di fuori dell'Asia.

Link

https://doi.org/10.1073/pnas.2004999117

La rete filogenetica ricostruisce i percorsi evolutivi nell'uomo
La rete filogenetica ricostruisce i percorsi evolutivi nell'uomo

Valentina Paraluppi

Covid-19 in neonati e bambini: lo stato dell’arte
 
30 marzo 2020 - Da settimane molti ricercatori stanno esaminando Covid-19 negli adulti, ma i dati sulle sue caratteristiche epidemiologiche e cliniche nei neonati e nei bambini sono pochi e frammentari. Questa revisione è stata pensata per evidenziare i principali aspetti pediatrici e neonatali di Covid-19. I bambini, in virtù dell’immaturità del loro sistema immunitario e per altri fattori ancora oggetto di studio, sembrano risparmiati da manifestazioni cliniche severe. Essi possono presentare forme moderate con tosse, febbre, tachicardia, tachipnea, rinorrea, diarrea e vomito, ma nella maggior parte dei casi sono asintomatici oppure presentano sintomi lievi, tali da non portare all’attenzione del medico, motivo per cui i casi pediatrici potrebbero essere sottostimati. I bambini possono inoltre essere grandi diffusori del virus. Le problematiche della gravida e la gestione del neonato sono discusse in dettaglio. In base ai lavori più significativi, abbiamo elaborato tre algoritmi che potrebbero aiutare nella gestione dei casi sospetti e accertati. Considerata la scarsa clinica, la terapia in età pediatrica è per lo più una terapia sintomatica e di supporto.

Link 

http://www.jpnim.com/index.php/jpnim/article/view/090138

Prime rilevazioni dei neonatologi: i bambini parrebbero risparmiati da manifestazioni cliniche severe
Prime rilevazioni dei neonatologi: i bambini parrebbero risparmiati da manifestazioni cliniche severe

Marco Pistis

Paura del Covid: devo cambiare i miei farmaci per l’ipertensione?

24 marzo 2020 - Il Covid-19 utilizza una proteina presente sulle cellule alveolari del polmone (l’Ace2, un enzima che converte l’angiotensina), per penetrare al loro interno e replicarsi. Moltissime persone utilizzano farmaci che agiscono sull’ Ace (gli Ace-inibitori) o sui recettori per l’angiotensina (sartani) per controllare efficacemente l’ipertensione arteriosa. Alcuni editoriali riportano ipotesi contrastanti sui potenziali benefici/rischi associati a questi farmaci: ad esempio si è ipotizzato che potrebbero favorire l’ingresso del virus e un’evoluzione più grave della malattia. E’ il caso di tranquillizzare i numerosi ipertesi che fanno uso di Ace-inibitori o sartani: non c’è nessuna evidenza né di danni né di effetti protettivi. Infatti, nessuna autorità regolatoria mondiale dei farmaci o Società Scientifica suggerisce di modificare la terapia. I danni che potrebbero essere causati dalla sospensione o dal cambiamento dei farmaci antipertensivi (tanto più se effettuati senza un controllo medico) sono ben superiori agli ipotetici (e non provati) benefici.

Link

documento della Società Italiana di Farmacologia.

Gli ipertesi che usano Ace-inibitori o sartani possono stare tranquilli
Gli ipertesi che usano Ace-inibitori o sartani possono stare tranquilli

Farmaci miracolosi per il Covid-19?
Le conferme possono arrivare solo dalla sperimentazione

 
25 marzo 2020
- Parliamo del favipiravir, noto con il nome di Avigan. Si tratta di un farmaco antivirale, che agisce come inibitore della Rna polimerasi virale, sviluppato nel 2014 in Giappone. In questi giorni, complice anche un video di un farmacista italiano (!), viene dichiarato come in grado di curare i pazienti affetti da Covid-19. Il medicinale, autorizzato in Giappone per l’influenza B, non è autorizzato né in Europa né negli Usa per modeste prove di efficacia e un rischio teratogeno. È stato testato anche sul virus Ebola, con scarsi risultati. Non esistono studi clinici pubblicati sull’efficacia del farmaco nel trattamento del Covid-19. Sono noti solamente dati preliminari di un piccolo studio condotto in pazienti con Covid-19 non grave. Sebbene i dati disponibili sembrino suggerire una potenziale attività di favipiravir, mancano dati sulla reale efficacia nell’uso clinico e sulla evoluzione della malattia. Gli stessi autori riportano diverse limitazioni dello studio e dichiarano che, non trattandosi di uno studio clinico controllato, ci potrebbero essere distorsioni nel processo di reclutamento dei pazienti. Stupisce, inoltre, che questo studio preliminare non risulti più accessibile online (al 24/3/2020). L’Aifa (Autorità italiana del farmaco) ha comunque autorizzato la sperimentazione del farmaco. La risposta alla domanda se esiste un farmaco miracoloso sarà fornita solo dopo la valutazione rigorosa dei dati ottenuti attraverso uno studio clinico, come è giusto.


Link 

https://www.jstage.jst.go.jp/article/ddt/14/1/14_2020.01012/_article

https://www.aifa.gov.it/web/guest/-/favipiravir-aggiornamento-della-valutazione-della-cts

Favipiravir (Avigan), sperimentazione in corso: Ma guai a studi clinici affrettati
Favipiravir (Avigan), sperimentazione in corso: Ma guai a studi clinici affrettati

Primum non nocere. La pericolosità di terapie farmacologiche “fai da te” o non adeguatamente testate.
 
1 aprile 2020 -
“Primum non nocere” (per prima cosa non nuocere) è uno dei primi insegnamenti da impartire agli studenti di Medicina e dovrebbe guidare il medico anche nelle emergenze. In questo periodo tragico e convulso, pur con le migliori intenzioni, si abbandonano le consuete cautele nel proporre terapie farmacologiche ancora dubbie ai pazienti stremati dal Covid-19. Nessun farmaco è privo di reazioni avverse e queste possono essere tanto più gravi e frequenti tanto più numerosi sono i farmaci associati tra loro in un cocktail empirico, sulla cui sicurezza si hanno pochissimi dati. Faccio l’esempio di una condizione cardiaca potenzialmente letale, diagnosticabile solo all’elettrocardiogramma, spesso causata o accentuata da farmaci: il cosiddetto allungamento dell’intervallo Qt. Ebbene, l’idrossiclorochina, l’azitromicina e il lopinavir/ritonavir (usati nel Covid-19) possono provocare un allungamento dell’intervallo Qt. Considerando che la maggior parte dei pazienti deceduti per Covid-19 era anziana e presentava comorbilità cardiovascolare, spesso con aritmie cardiache, questi farmaci potrebbero potenzialmente aumentare il rischio di morte cardiaca improvvisa. Inoltre, l'epatite e la neutropenia sono manifestazioni cliniche del Covid-19 e potrebbero essere aggravate dall'uso off-label di questi farmaci. E’ impossibile differenziare gli effetti avversi correlati al farmaco dalle manifestazioni della malattia in assenza di un gruppo di controllo. Pur con una pandemia in corso, sono stati avviati in tutto il mondo studi clinici con una velocità senza precedenti. Questo è estremamente incoraggiante ed è l'unico modo per trovare trattamenti efficaci e sicuri per il Covid-19.

Link 

https://jamanetwork.com/journals/jama/fullarticle/2763802

Le associazioni di farmaci possono creare reazioni avverse
Le associazioni di farmaci possono creare reazioni avverse

Fumo di sigaretta e Covid-19

19 aprile 2020 - Il fumo di tabacco contiene la nicotina, sostanza psicoattiva capace di dare dipendenza e più di 5000 altre molecole prodotte dalla combustione. La nicotina può facilitare l’infezione da Sars-Cov-2, dato che promuove l’espressione della proteina Ace-2, porta di ingresso del virus nelle cellule. Infatti, nei fumatori sono stati riscontrati livelli elevati dell’Ace-2 nei polmoni e questo sembrerebbe facilitare l’infezione virale. Anche il cervello potrebbe essere suscettibile: l’Ace-2 è espressa anche dalle cellule nervose e la nicotina agisce proprio su queste cellule interagendo con l’Ace-2 attraverso i recettori nicotinici. Il coronavirus penetra nel sistema nervoso centrale soprattutto attraverso i neuroni olfattivi e nel 30 per cento dei casi di Covid-19 si sono riscontrati dei problemi neurologici. Queste considerazioni fanno ipotizzare che nella Covid-19 i fumatori possano avere un aumentato rischio di complicanze neurologiche. Gli studi sui pazienti affetti da Covid-19 confermano che i fumatori hanno un rischio maggiore? Una revisione sistematica che analizza pochi studi non ha trovato una correlazione statisticamente significativa tra fumo di sigaretta e gravità della malattia, ma solo una tendenza verso una maggiore gravità. Tuttavia, è certamente consigliabile, in una pandemia come quella che stiamo attraversando, smettere di fumare anche attraverso ausili a disposizione.

Link

https://febs.onlinelibrary.wiley.com/doi/full/10.1111/febs.15303
http://molpharm.aspetjournals.org/content/early/2020/04/01/molpharm.120.000014

 

I ricercatori studiano le correlazioni tra fumo di sigaretta e patologia
I ricercatori studiano le correlazioni tra fumo di sigaretta e patologia

Nessun danno dai farmaci contro l’ipertensione nella Covid-19: la conferma dal New England Journal of Medicine

3 maggio 2020 - In un precedente contributo si era discusso sulle voci di un possibile aggravamento della malattia da Sars-Cov-2 (Covid-19) nei pazienti in terapia con farmaci per l’ipertensione appartenenti alla categoria degli inibitori del sistema renina-angiotensina (Ace-inibitori e sartani). In assenza di evidenze chiare e con dati controversi, si era concluso che la sospensione o la sostituzione di questi farmaci non era raccomandata perché i rischi sarebbero stati ben superiori ai potenziali e incerti benefici. Tre articoli apparsi il 1 maggio sulla prestigiosa rivista New England Journal of Medicine, tra i quali uno italiano, hanno confermato quanto già raccomandato da numerose Società scientifiche nazionali e internazionali. Nei tre studi svolti in undici nazioni di tre continenti su circa 21mila malati di Covid-19, non è stato riscontrato alcun danno da farmaci antiipertensivi Ace-inibitori e sartani nei pazienti affetti da Covid-19. Questi farmaci sono sicuri e la loro assunzione non va interrotta. Ancora una volta abbiamo la conferma che prendere decisioni affrettate basate su supposizioni prive di una verifica sperimentale può essere molto dannoso.

Link

https://www.nejm.org/doi/full/10.1056/NEJMe2012924?query=RP

Tre studi in undici nazioni confermano la non relazione degli Ace-inibitori nei pazienti affetti da Covid-19
Tre studi in undici nazioni confermano la non relazione degli Ace-inibitori nei pazienti affetti da Covid-19

Il caso dell’idrossiclorochina

9 giugno  - Alcuni giorni fa è stato pubblicato un articolo su Lancet che metteva in evidenza i rischi legati all’assunzione di idrossiclorochina nella Covid-19. Questo farmaco, originariamente indicato come antimalarico e antireumatico, aveva avuto una notevole diffusione nel trattamento emergenziale della Covid-19 sulla base di risultati in vitro che suggerivano potenziali azioni antivirali e immunomodulatorie, nonostante evidenze cliniche ancora scarse e dubbie. Persino il presidente degli Usa, Donald Trump, in modo assolutamente inconsueto, aveva dichiarato di assumerlo a scopo preventivo. L’articolo su Lancet aveva generato reazioni a catena a partire dall’Oms e dalle Agenzie regolatorie nazionali dei farmaci (tra cui l’Aifa), che una dopo l’altra ne hanno vietato l’utilizzo e sospeso cautelativamente le sperimentazioni cliniche già avviate. Tuttavia, questo articolo è stato contestato da numerosi ricercatori per i molti limiti metodologici e potenziali conflitti di interesse. La rivista, valutata la fondatezza dei rilievi presentati, ha deciso di ritirarlo. Non è il primo articolo ad essere stato ritirato in questo periodo di pandemia, ma ha destato scalpore non solo per via del prestigio della rivista, ma anche per gli effetti che ha prodotto, prima con la sua pubblicazione e poi con il suo ritiro.Possiamo trarre alcuni insegnamenti da questa vicenda: la scienza seria e affidabile procede controllando continuamente le pubblicazioni e arrivando anche ad eliminare quelle che la comunità scientifica non ritiene eseguite correttamente. Ogni risultato pubblicato è solo all’inizio del suo percorso di verifica e scrutinio, e non alla fine. Più la rivista è prestigiosa e più si deve attenere ad un continuo scrutinio delle sue pubblicazioni, cosa che non avviene per le riviste di basso valore scientifico.Nelle emergenze, come in questa pandemia, abbiamo bisogno di risposte rapide e sicure. Ma bisogna esercitare molta cautela, soprattutto quando in gioco c’è la salute delle persone. Non deve sorprendere che i tempi di approvazione di nuovi farmaci richiedono anni, anche un decennio. Persino un riposizionamento di farmaci già approvati per altre malattie richiede anni di studi accuratamente condotti. La fretta in questo caso è sempre cattiva consigliera.

Limk dell'articolo ritirato su Lancet

https://www.thelancet.com/journals/lancet/article/PIIS0140-6736(20)31324-6/fulltext?fbclid=IwAR33RS1gH79ZTU2dc0Fcjha7OJ4YbxSZZR3z1pX7aSmTOaeJNFig0F5gOSc

L'articolo ritirato da Lancet era finito nel mirino dell'Oms. Nella foto, il segretario generale Tedris Adhanom Ghebreyesus
L'articolo ritirato da Lancet era finito nel mirino dell'Oms. Nella foto, il segretario generale Tedris Adhanom Ghebreyesus

Monica Puligheddu

#ioRestoaCasa… dormendo bene!

 

11 aprile 2020 - Molte persone in Europa stanno provando elevati livelli di stress in questo periodo di isolamento sociale forzato a causa dell’emergenza sanitaria dovuta dalla diffusione del Covid-19. Questi elevati livelli di stress possono interferire con le nostre usuali attività diurne e hanno un impatto rilevante sulla qualità e sulla quantità del nostro sonno notturno. Al fine di promuovere una maggiore attenzione sul ruolo del sonno delle persone in questo periodo, una task force dell’Accademia europea per il trattamento cognitivo-comportamentale del disturbo di insonnia ha pubblicato un breve articolo in cui si suggeriscono alcune raccomandazioni per prevenire o gestire problemi del sonno durante l’isolamento sociale forzato. Inoltre. al fine di supportare il disagio determinato dalla pandemia Covid-19 l’Associazione italiana di medicina del sonno apre le porte (telematiche) ai cittadini con il suo punto di ascolto “Il benessere del sonno al tempo del coronavirus”.

Link

https://onlinelibrary.wiley.com/doi/abs/10.1111/jsr.13052

http://www.sonnomed.it/2020/04/01/servizio/


 

Le indicazioni dell'Accademia europea per il trattamento cognitivo-comportamentale
Le indicazioni dell'Accademia europea per il trattamento cognitivo-comportamentale

Antonio Pusceddu

Verso una salute planetaria

14 maggio 2020 - I virus degli animali selvatici hanno - come abbiamo imparato a nostre spese - un’elevata capacità di mutare, cioè di trasformarsi per poter infettare, attraverso lo spillover (tracimazione), organismi di specie diverse, incluso l’uomo. Si stima che lo spillover sia alla base di oltre il 70 per cento delle malattie infettive dell’Uomo. La riduzione della biodiversità (dovuta alla perdita di habitat, alla creazione di ambienti artificiali, all’inquinamento) può favorire la comparsa delle zoocenosi, ovvero dello spillover di infezioni animali all’uomo, attraverso due possibili meccanismi. Inquinamento e stress abbassano le difese immunitarie degli animali selvatici che si ammalano più facilmente (come capita all’uomo), mentre l’alterazione degli ecosistemi degrada le condizioni igieniche e riduce gli habitat, concentrando gli organismi e favorendo il contagio. Un recente rapporto del Wwf, basato su letteratura scientifica, ha evidenziato l’esistenza di relazioni tra riduzione della biodiversità e pandemie, individuando la distruzione degli ecosistemi come cofattore in grado di favorire le zoonosi. Dato che “l'impatto dell’uomo sugli ecosistemi naturali ha modificato il 75 per cento dell’ambiente terrestre e circa il 66 di quello marino e messo a rischio di estinzione circa un milione di specie animali e vegetali”, appare necessario un radicale cambiamento nella gestione degli ecosistemi che porti ad una salute “globale”, e, quindi, alla salvaguardia della biodiversità, senza la quale la salute dell’uomo continuerà ad essere sempre più frequentemente messa a grave rischio.

Link

https://www.nature.com/articles/nature09575#Sec4

 

Ecosistemi, modifica della gestione
Ecosistemi, modifica della gestione

Luca Saba

L'evoluzione di Covid è dovuta a trombosi vascolare polmonare?

4 maggio 2020 - In questo articolo si suggerisce l’ipotesi che la sindrome respiratoria acuta grave coronavirus 2 (Sars-Cov-2) può indurre trombosi polmonare intravascolare, che può portare a un rapido peggioramento delle condizioni cliniche e alla morte. Articoli precedenti hanno dimostrato che un aumento dei livelli di D-dimero (un test di utilità clinica quando vi è un sospetto di trombosi venosa profonda, embolia polmonare oppure coagulazione intravascolare disseminata) al ricovero ospedaliero, è correlato a una malattia più grave o al verificarsi di un decesso. La potenziale azione protrombotica della Sars-Cov-2 è supportata dal coinvolgimento topografico delle regioni polmonari con una predilezione per il lobo inferiore con coinvolgimento periferico. Se questa ipotesi verrà dimostrata, potrebbe suggerire il beneficio dell'uso di regimi antitrombotici per Sars-Cov-2 e, allo stesso tempo, l'urgenza di identificare farmaci che potrebbero alterare la tempesta infiammatoria, proteggendo così la parete del vaso.

Link https://journals.lww.com/thoracicimaging/Abstract/9000/Is_COVID_Evolution_Due_to_Occurrence_of_Pulmonary.99419.aspx

L'importanza del test clinico D-dimero
L'importanza del test clinico D-dimero

Imaging in malattia neurologica di pazienti ospedalizzati Covid-19: uno studio osservazionale retrospettivo multicentrico italiano

31 maggio 2020 - Una percentuale significativa di pazienti trattati negli ospedali per Covid-19 ha sintomi neurologici, tra cui ictus e confusione. Uno studio multicentrico condotto in Italia con il contributo del sottoscritto, ha rilevato che quasi un terzo dei pazienti con evidenza di problemi neurologici ha subito un ictus e quasi il 60 per cento era molto confuso o disorientato. Dodici pazienti di età compresa tra 16 e 62 anni avevano subito ictus. Questo aspetto mostra anche come la prevalenza di evento ischemico sia maggiormente presente in pazienti di fascia d'età inferiore, sebbene questi dati siano ancora preliminari e debbano essere confermati su popolazioni più ampie. Questo articolo assume particolare valore perché, ad oggi, diversi studi hanno mostrato l’imaging toracico di Covid-19, mentre solo poche analisi cliniche hanno descritto i risultati di neuroimaging associati a Covid-19.

Link

https://pubs.rsna.org/doi/10.1148/radiol.2020201933

I riferimenti ineludibili dai risultati di neuroimaging
I riferimenti ineludibili dai risultati di neuroimaging

Giulia Sanna e Gaia Serrau

Covid-19 e cuore nella popolazione pediatrica

4 giugno 2020 - Nonostante siano stati pubblicati molteplici studi sul possibile danno cardiaco da Sars-Cov-2, solo pochissimi sono stati condotti in età pediatrica. I bambini affetti da Covid-19, generalmente, presentano un quadro clinico lieve. Non mancano, però, case report che trattano casi pediatrici, anche severi, con coinvolgimento cardiaco (che dunque, non sembrerebbe essere una prerogativa dell’infezione in età adulta) e che pongano l’accento sul ruolo che le patologie sottostanti (come le cardiopatie congenite) giocano nella storia clinica dell’infezione. Questa review, basata su un’attenta ricerca bibliografica, si pone l’obiettivo di comprendere quali siano i meccanismi patogenetici alla base del danno cardiaco da Covid-19 e di classificare le manifestazioni cliniche di tale danno.

Link

https://link.springer.com/content/pdf/10.1007/s00431-020-03699-0.pdf

 

 

Clinica e ruolo delle patologie sottostamti
Clinica e ruolo delle patologie sottostamti

Giorgia Sollai

Covid-19 e disfunzione olfattiva

 

Il Covid-19 è una malattia altamente contagiosa che interessa l’apparato respiratorio e che si trasmette da persona a persona attraverso le secrezioni respiratorie. Nell’ambito dell’attuale pandemia, una delle manifestazioni che mostrano i pazienti affetti da Covid-19 è la perdita (anosmia) o la riduzione (iposmia) della capacità di percepire gli odori. E’ noto che le infezioni virali sono responsabili di circa il 20 per cento di tutti i casi di anosmia. Infatti, l’epitelio olfattivo, cioè la regione del naso deputata alla percezione degli odori, è direttamente danneggiata dai microorganismi. Come riportato nello studio allegato, recenti ricerche suggeriscono che la perdita dell’olfatto possa essere considerata un sintomo associato anche al Covid-19. Infatti, in alcuni pazienti si manifesta all’inizio della malattia, mentre in altri nel corso di essa. Al momento non è noto se l’infezione da Covid-19 causi disfunzioni olfattive persistenti (di mesi o di anni) o se queste siano limitate alla fase acuta dell’infezione. Tuttavia, dal momento che non tutti i pazienti/individui potrebbero essere consapevoli del problema, l’articolo fornisce informazioni utili relative alla valutazione ed al trattamento della perdita dell’olfatto.

Link

https://onlinelibrary.wiley.com/doi/epdf/10.1002/alr.22578

 

 

Il 20 per cento delle anosmie sono causate da infezioni virali
Il 20 per cento delle anosmie sono causate da infezioni virali

Maria Francesca Staico

Il rene nella Covid-19: protagonista o comparsa?

25 maggio 2020 - Il coinvolgimento renale nei pazienti affetti da Covid-19 è su diversi livelli, con effetti acuti, e ripercussioni sul paziente con patologia renale cronica. Sars-Cov-2 oltre ad avere un effetto citopatico diretto sui glomeruli e tubuli renali, avrebbe anche un effetto indiretto tramite l'immunità cellulo-mediata, la tempesta citochinica e il cross-talk tra gli organi. Tali meccanismi sono interconnessi con profonde implicazioni terapeutiche, come la rimozione extracorporea delle citochine infiammatorie. Non è raccomandato interrompere o sostituire la terapia con Ace-I e/o Sartani. I pazienti dializzati dovrebbero essere classificati “ad alto rischio” di contrarre la patologia. Le infezioni rappresentano una delle più frequenti cause di morte nei bambini con Irc sottoposti a dialisi, mentre i bambini con patologia urologica di tipo ostruttivo hanno un rischio aumentato di insufficienza renale per il rinvio di interventi chirurgici invece urgenti.
Link

https://www.minervamedica.it/it/riviste/panminerva-medica/articolo.php?cod=R41Y9999N00A20052002

 

 

 

 

 

Infezioni e terapie, focus sul sistema renale
Infezioni e terapie, focus sul sistema renale

Eugenia Tognotti

Le epidemie: un quadro storico

30 marzo 2020 - Dalla peste al Covid-19, passando per le diverse ondate epidemiche di colera nel XIX secolo fino alla prima pandemia d’influenza, la Spagnola, le grandi epidemie hanno segnato la storia delle società umane dall’Atene classica all’Europa moderna e contemporanea. Mentre le notizie sull’origine e la diffusione al coronavirus scandiscono la nostra vita quotidiana, approfondire la storia delle grandi crisi epidemiche, può aiutare a comprendere la traccia che hanno lasciato, a cominciare dalle risposte politico-istituzionali, scientifiche e culturali alle emergenze. Arrivano da lontano - secoli prima dell’affermarsi dell’eziologia microbica delle malattie contagiose - le politiche di "contenimento”, e di “quarantena”, oggi in campo nella lotta al nuovo Sars-CoV-2.  

Nelle città investite dalla peste, i poteri pubblici – a fronte della drammatica impotenza della medicina - attuavano la ‘profilassi della separazione’ e ordinavano di utilizzare fuoco e zolfo per quella che oggi chiamiamo ‘sanificazione’. Nel contempo ricorrevano alla forza per impedire a chiunque l’accesso ai luoghi abitati, pur consapevoli che l'embargo introdotto per manifatture e commerci aveva un impatto nefasto sull’economia.  Immagini e documenti propongono un sorprendente parallelismo tra presente e passato. Il lungo ‘becco’, pieno di erbe odorose, che copriva il naso dei ‘medici della peste’, rimanda alla mascherina indossata oggi dal personale sanitario. La quarantena, i cordoni sanitari, il divieto di assembramenti, la proibizione all’ approdo delle navi, l’isolamento nelle case, il divieto di gli spostamenti, richiamano le condizioni che i contemporanei sperimentavano al tempo della peste e di colera, fino al tramonto del XIX secolo, con una coda all’avvento della Spagnola, nel 1918. Le misure per arginare le epidemie non sono mai state solo risposte mediche, ma anche culturali e politiche e hanno influenzato idee e dibattiti.

Mentre siamo impegnati a comprendere le cause e le conseguenze del Covid-19,  che segnerà il nostro tempo, la storia delle grandi crisi epidemiche che hanno plasmato il mondo moderno, può offrire molte, utili lezioni.
 
Link:

Nell'universo malvagio e strumentale delle bufale si dà per epocale la pandemia Covid-19. In realtà l'uomo fa i conti con le grandi epidemie fin dalla sua esistenza
Nell'universo malvagio e strumentale delle bufale si dà per epocale la pandemia Covid-19. In realtà l'uomo fa i conti con le grandi epidemie fin dalla sua esistenza

Enzo Tramontano

Ma come si classifica un virus? E questo virus come si chiama e perché?

24 marzo 2020 - Il gruppo di studio sui Coronaviridae dell’International committee on taxonomy of viruses, la struttura internazionale deputata alla classificazione dei virus, ha deciso di designare il virus responsabile della corrente pandemia con il nome di Severe acute respiratory syndrome-related coronavirus 2 (da cui l’acronimo Sars-CoV-2). Ma come viene classificato un virus? In precedenza, i virus erano classificavati in base alla malattia a loro correlata o in base alle loro proprietà antigeniche. Oggi, un virus è classificato in base alla sua filogenia, cioè al suo genoma (in questo caso un Rna) in relazione ad altri genomi di virus conosciuti (è un nuovo virus? Quanto è simile ad altri virus noti?). In particolare, si usano porzioni del genoma particolarmente conservate, tra cui in questo caso i geni della proteasi 3CL, della Rna polimerasi Rna dipendente e della elicasi. In base a ciò, si è osservato che il nuovo virus è molto simile al virus Sars-CoV e pertanto è stato denominato Sars-CoV-2. Entrambi i Sars-CoV sono poi molto simili al Coronavirus dei pipistrelli.

Link

https://www.nature.com/articles/s41564-020-0695-z.pdf

L'albero filogenetico di alcuni Coronavirus. In rosso le specie altamente patogene per l’uomo, in arancio le specie che circolano normalmente nell’uomo
L'albero filogenetico di alcuni Coronavirus. In rosso le specie altamente patogene per l’uomo, in arancio le specie che circolano normalmente nell’uomo

Le infezioni non documentate facilitano la disseminazione di Sars-CoV2

24 marzo 2020 - Uno studio a firma di colleghi della Columbia University (NY) e dell’Imperiale College (Londra) pubblicato su Science il 16 marzo, svolto sui dati dell’epidemia di Sars-CoV2 in Cina dal 10 al 23 gennaio scorso (cioè prima che il governo cinese imponesse rigide restrizioni per il controllo del virus), propone importanti caratteristiche epidemiologiche sulla diffusione del virus. Secondo questo studio ben l’86 per cento di tutti i casi resterebbe non documentato, e questi casi sarebbero responsabili del 79 per cento delle nuove infezioni. In pratica su cento casi documentati, ci sarebbero circa 600 casi non documentati. Questi ultimi avrebbero una capacità di contagio di circa la metà dei casi documentati e sarebbero responsabili dell’infezione di una gran parte dei casi riportati. Questi dati spiegherebbero la rapida diffusione geografica del Sars-CoV2 ed indicherebbero che le misure di contenimento sono particolarmente complesse.

Link

https://science.sciencemag.org/content/early/2020/03/13/science.abb3221

La simulazione dell’Impatto delle infezioni non documentate sulla trasmissione di Sars-CoV2
La simulazione dell’Impatto delle infezioni non documentate sulla trasmissione di Sars-CoV2

I vaccini sono uno strumento essenziale per il progresso della popolazione mondiale

15 aprile 2020 - La pandemia del Covid-19 ha rimesso alla attenzione di tutti la pericolosità delle infezioni dovute a virus e batteri, e la necessità di sviluppare dei vaccini per indurre una adeguata immunità contro i diversi agenti infettivi in tutta la popolazione mondiale.La review pubblicata da Nature nel 2019 a firma Piot et al, presenta con chiarezza i benefici che i vaccini hanno portato in tutto il globo, a partire dalla eradicazione del vaiolo, alla riduzione della presenza di polio virus in alcune aree di Afghanistan e Pakistan, alla efficacia dei vaccini per il virus del morbillo o il papillomavirus. Inoltre, affronta i cosiddetti benefici non-specifici, cioè i benefici che i bambini vaccinati possono avere anche verso altre infezioni (come è ipotizzato per il virus Sars-CoV-2), e dettaglia bene come la vaccinazione sia un investimento per l’intero arco della vita, che però non ancora tutti i bambini possono permettersi per motivi economici, politici o culturali. La review affronta anche il problema della riduzione della fiducia nei vaccini nelle regioni più sviluppate del mondo (dal 99.5 per cento nel 2015 al 76,2 nel 2018), e conclude dimostrando che il mondo moderno non può permettersi di far tornare indietro l’orologio della immunizzazione nella continua battaglia contro gli agenti infettivi, vecchi e nuovi.

Link

https://www.nature.com/articles/s41586-019-1656-7.pdf

 

La fiducia nella sicurezza nei vaccini nel 2018
La fiducia nella sicurezza nei vaccini nel 2018

a β-D-N4-hydroxycytidina inibisce la replicazione del Sars-CoV-2

17 aprile 2020 - Una molecola, la β-D-N4-hydroxycytidina, nota come Eidd-2801 attualmente in sperimentazione clinica come agente antivirale ad ampio spettro contro Rna virus è stata trovata inibire la replicazione del SARS-CoV-2 sia in colture cellulari, anche di cellule primarie dell’epitelio respiratorio, che in modelli animali a cui è stata somministrata per via orale. Gli autori dello studio, scienziati delle Università di North Carolina a Chapel Hill, Vanderbilt ed Emory (tutte americane), hanno proposto che questa molecola aumenti il numero di errori della Rna polimerasi virale (che copia il genoma virale) portando il virus ad una catastrofe genetica. In aggiunta al Sars-CoV-2 la β-D-N4-hydroxycytidina è stata in grado di inibire altri coronavirus come il Sars-CoV e il Mers-CoV. Tuttavia, lo studio ha anche dimostrato che la finestra di utilizzo del farmaco potrebbe essere ridotta, suggerendo che altri analoghi nucleosidici dovrebbero essere testati come potenziali farmaci anti-coronavirus.

Link

https://stm.sciencemag.org/content/early/2020/04/03/scitranslmed.abb5883/tab-pdf

 

La ricerca vola in mezzo mondo. Ad esempio in Usa, negli atenei Emory, Vanderbilt e North Carolina
La ricerca vola in mezzo mondo. Ad esempio in Usa, negli atenei Emory, Vanderbilt e North Carolina

Questionnaire and social

Share on:
Impostazioni cookie